MENU
CASE
当院について

症例集

BEFORE AFTER

症例集(Before-After)

▼ 条件を指定して検索

歯並びの状態
矯正装置
抜歯の有無
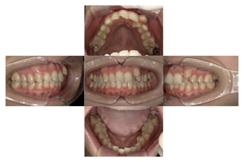
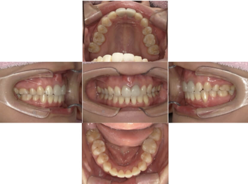
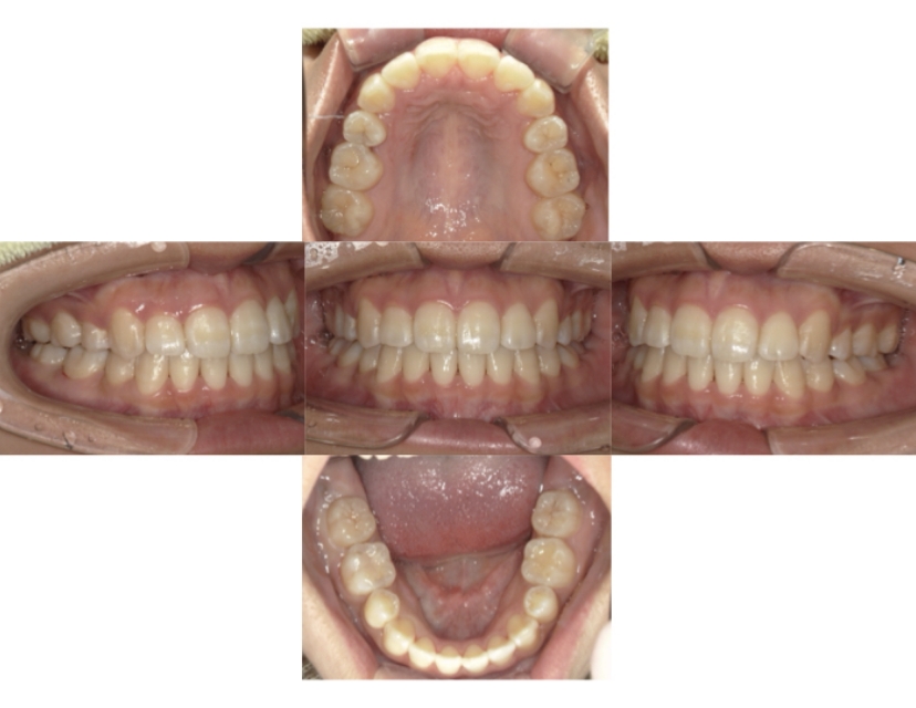
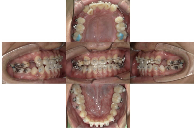
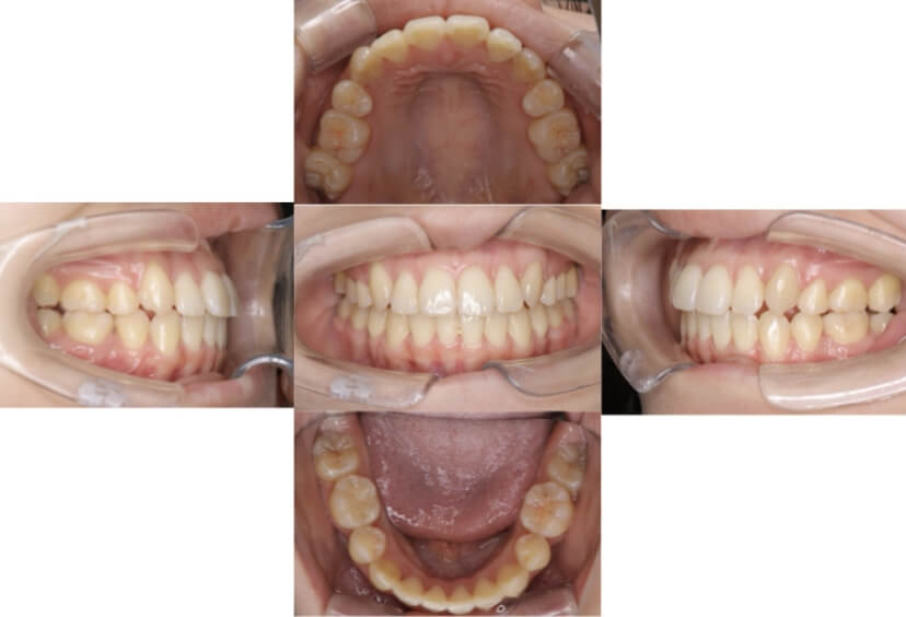
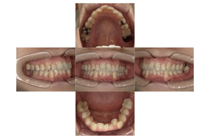
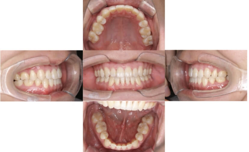
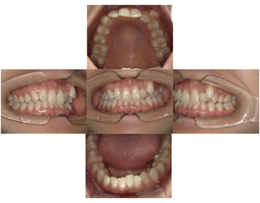
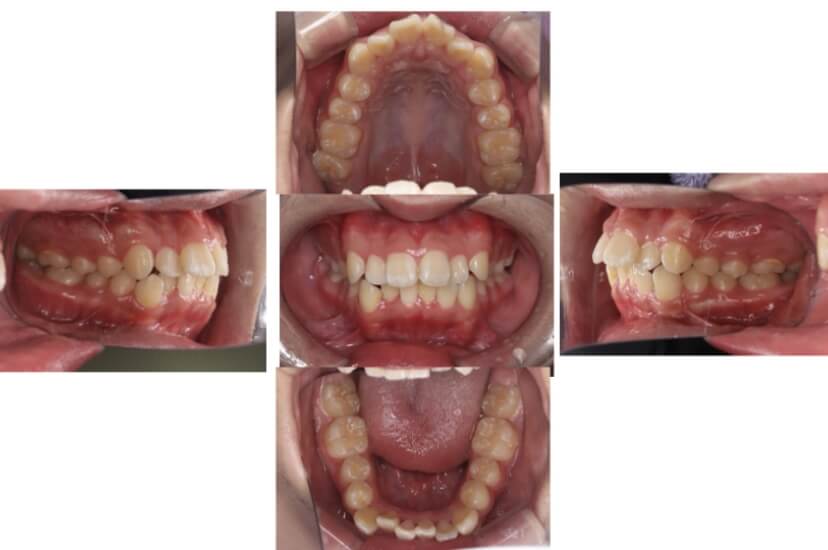
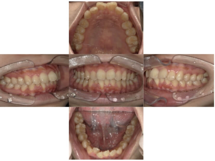
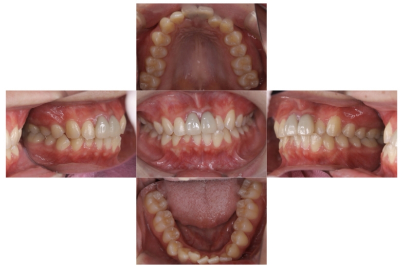
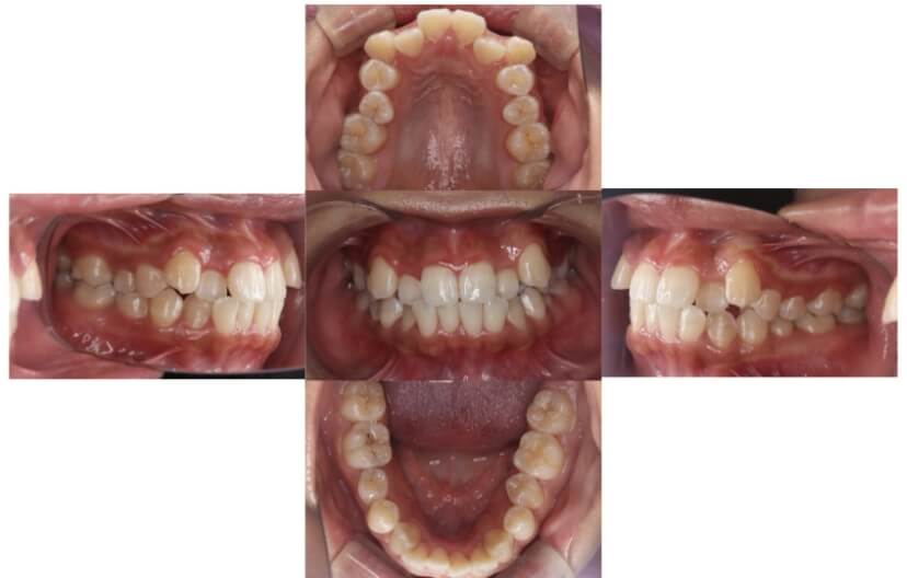
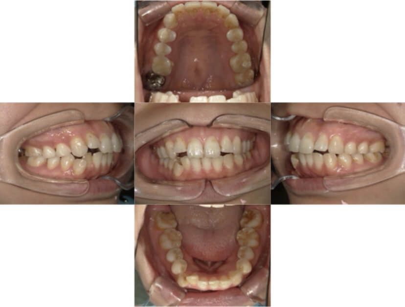
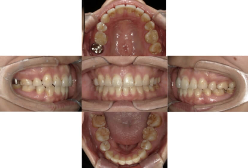
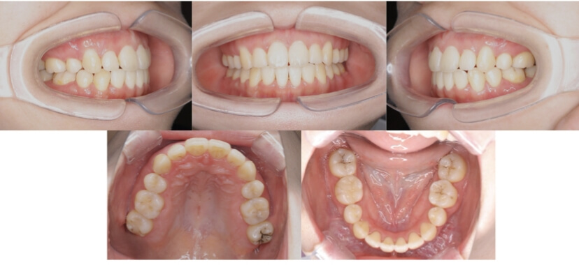
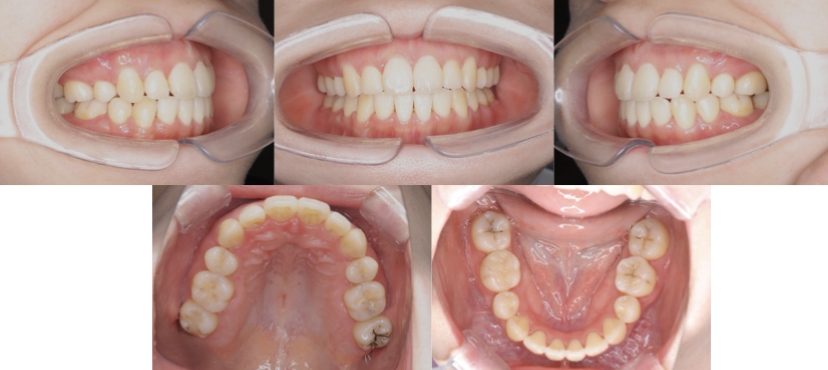
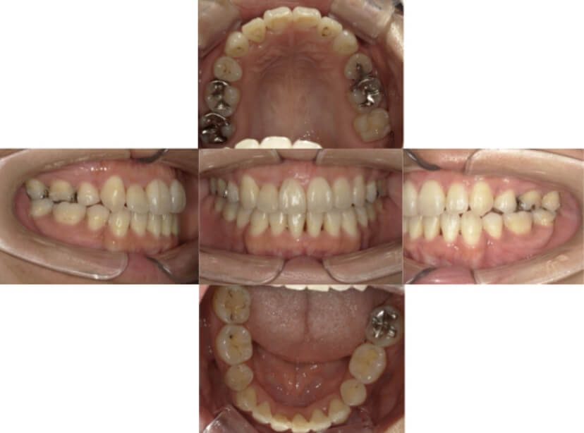
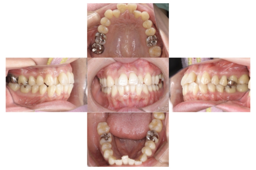
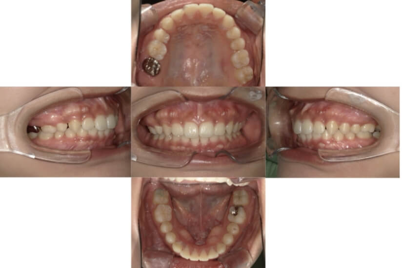
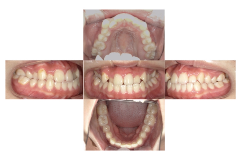
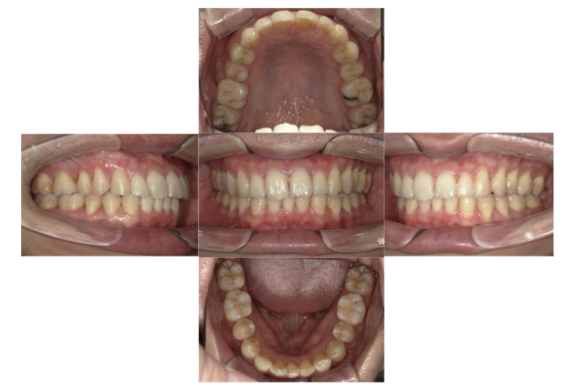
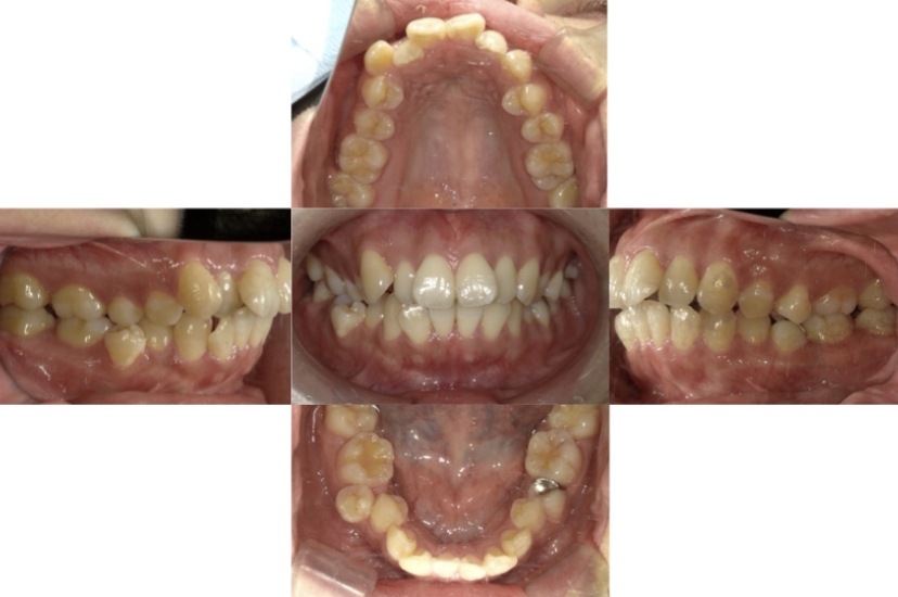
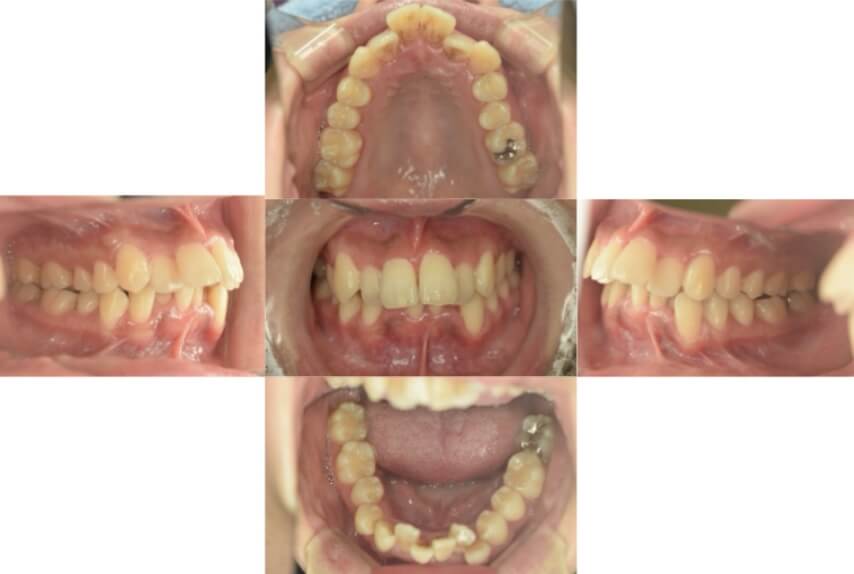
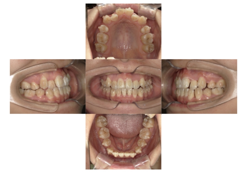
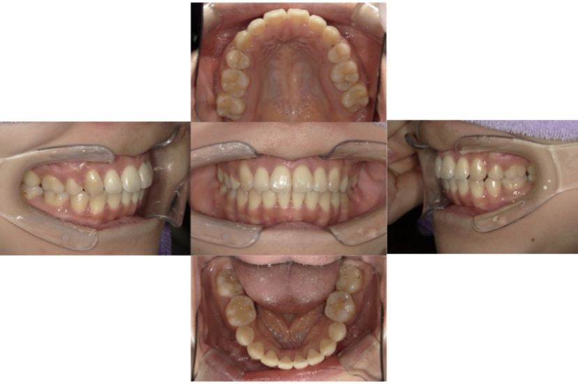
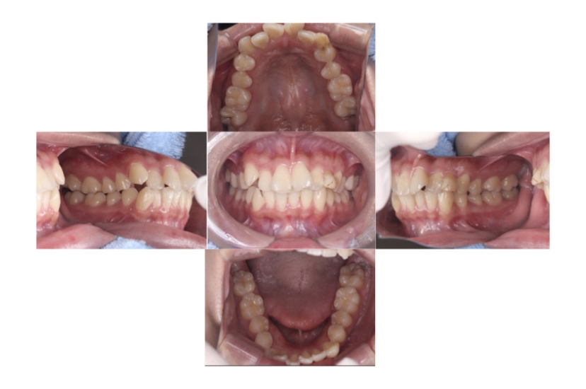
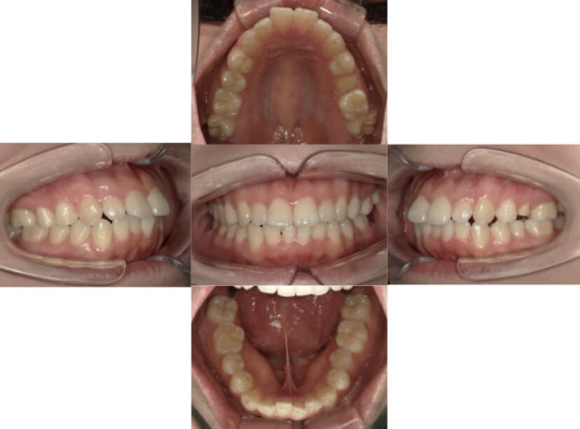
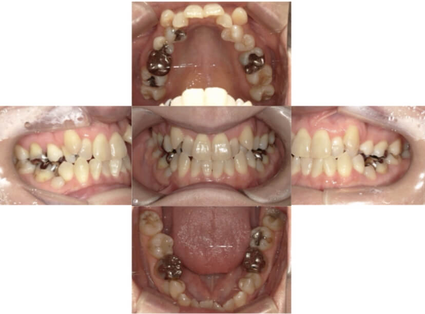
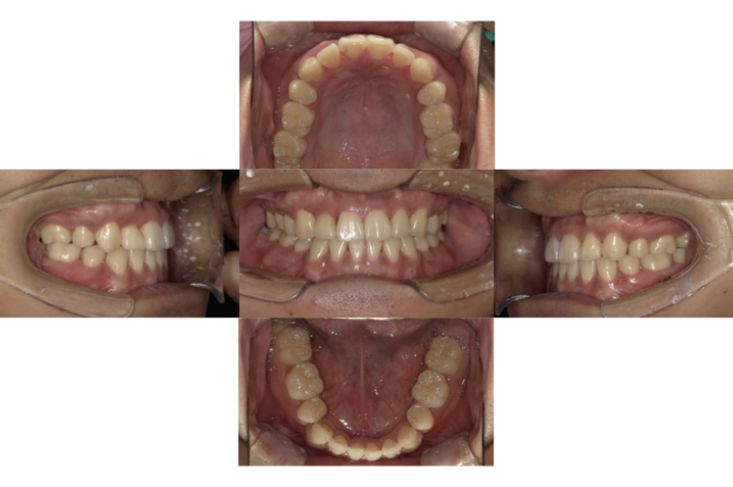
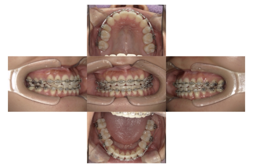
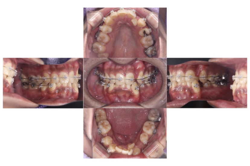
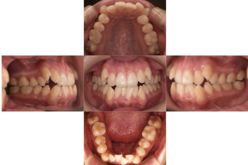
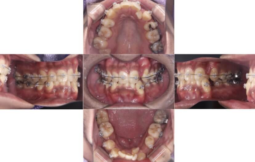
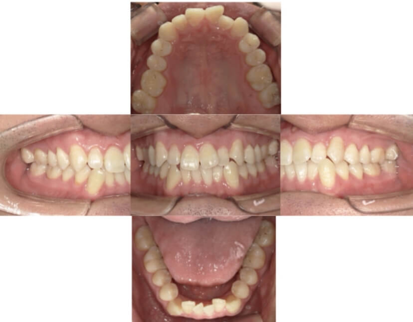
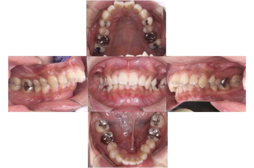
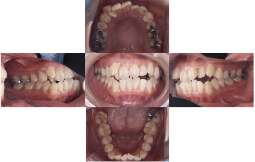
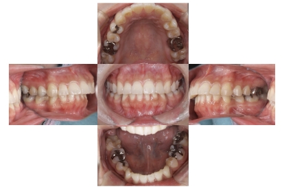
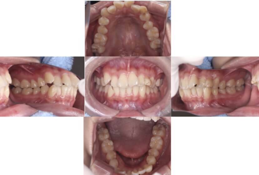
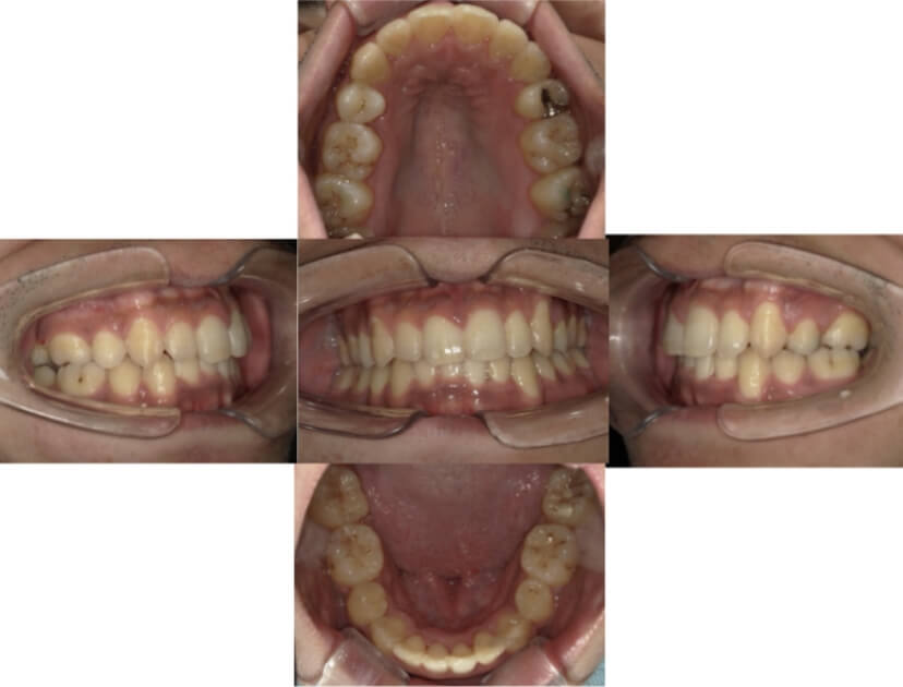
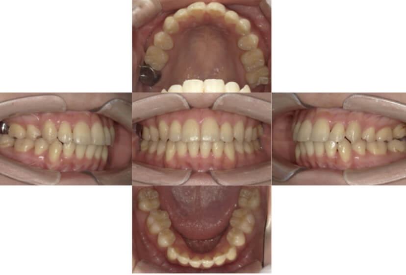
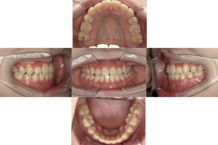
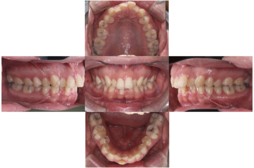
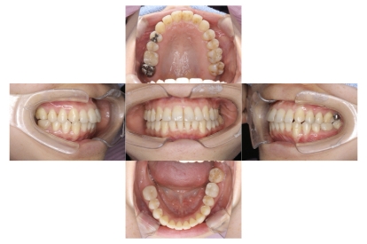
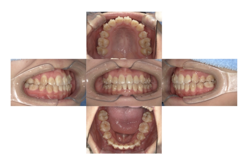
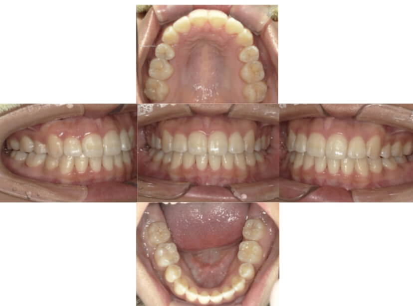
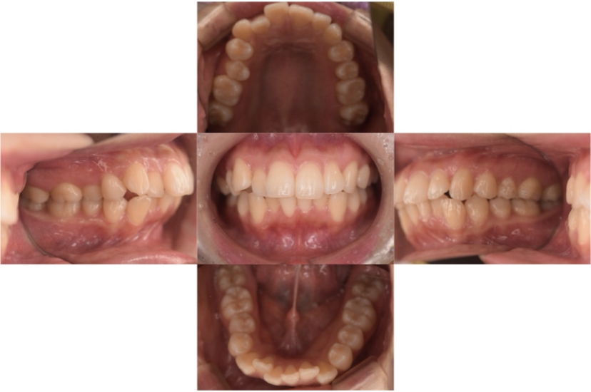
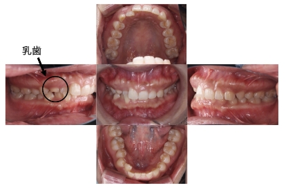
症例1
上顎前突、叢生
抜歯
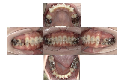
ブラケット矯正

症例解説

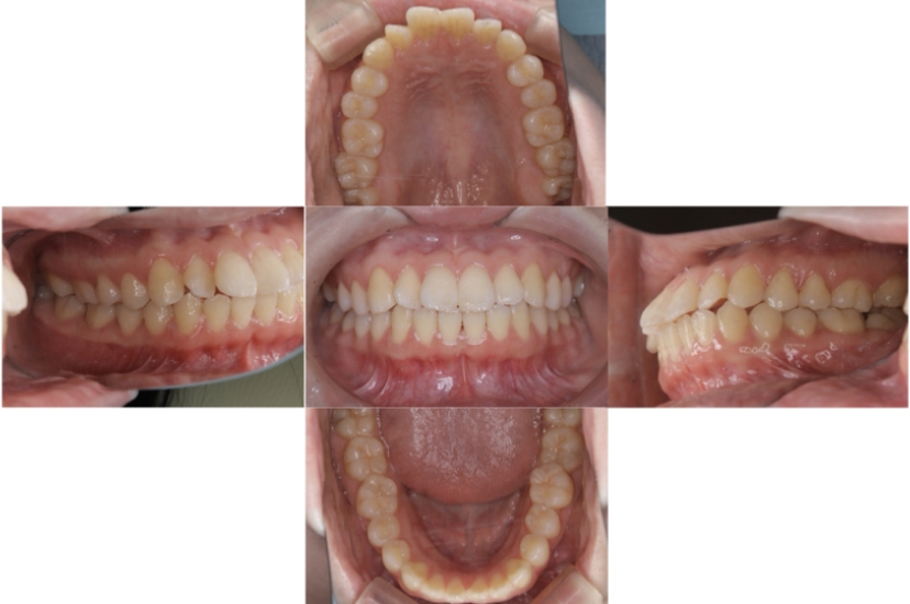
上下顎叢生、上顎前突(出っ歯、上下の前歯のガタガタ)のケースです。
装置はラビアル(上下表側)で、上顎の小臼歯を2本抜歯を行っています。抜歯したスペースを使って、上の前歯の後方移動と叢生(ガタガタ)と出っ歯の改善を行っています。下は歯と歯の間にIPR(隣接面削合)を行い、スペースを確保し、叢生の改善を行っています。

主訴 前歯のガタガタと出っ歯が気になる。
年齢・性別 47歳 女性
お住まいの地域 神奈川県川崎市
治療方針 抜歯スペースおよびIPRを利用して上前歯の叢生(ガタガタ)の改善
抜歯部位 上顎左右第一小臼歯
使用装置 ラビアル(上下表側)、顎間ゴム
治療期間 2年0か月
治療回数 15回
リテーナー クリアリテーナー

リスク及び副作用 矯正治療では以下のリスクや副作用が考えられます。
  • 歯根吸収(歯の根が短くなる症状)
  • 歯肉退縮(歯茎が下がる症状)
  • ブラックトライアングル(歯間乳頭部歯肉の消失)
  • アンキローシス(歯と歯を支える骨が癒着し歯が動かなくなる。)
  • 歯髄壊死(歯の神経が失活してしまう状態)
  • スペース残存(歯と歯の間にスペースが残存する)
  • 顎関節症(顎の痛み)
  • 金属アレルギー
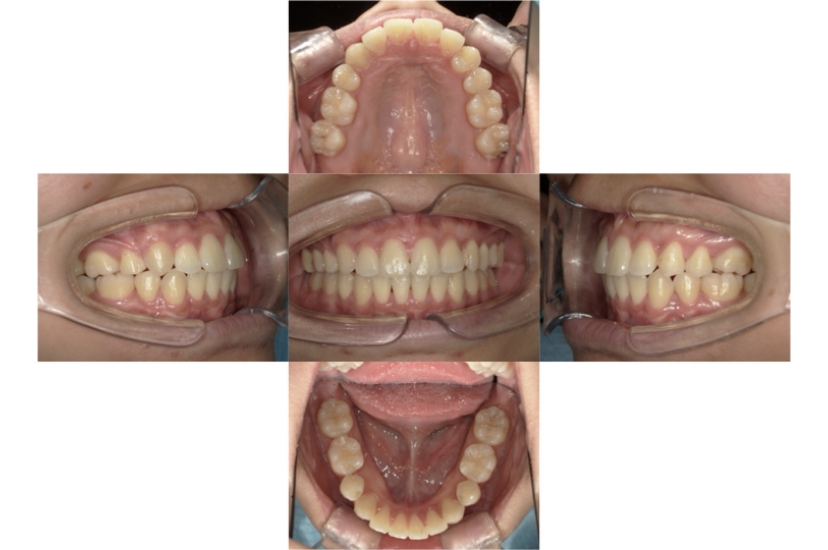
BEFORE
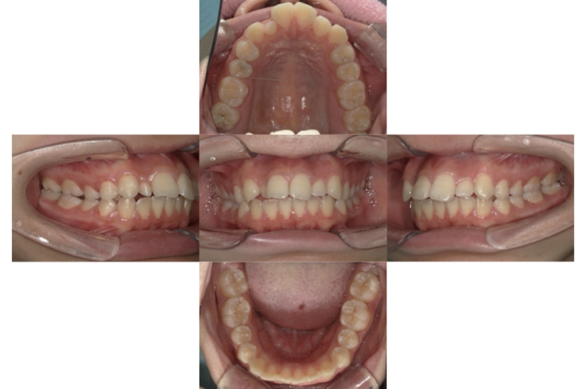
AFTER

費 用

※すべて税込

  • 検査・診断料 27,500円
  • 装置料 759,000円
  • 調整料 5,500円/月(15回)
  • 抜歯 22000円(1本11,000円) 
  • 保定装置料 0円
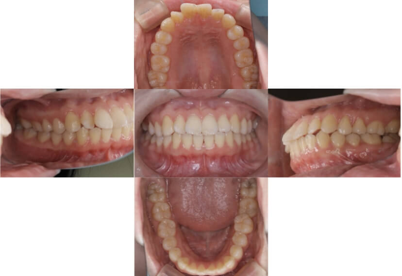
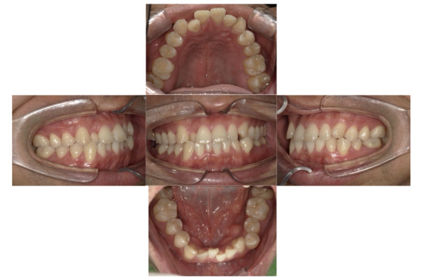
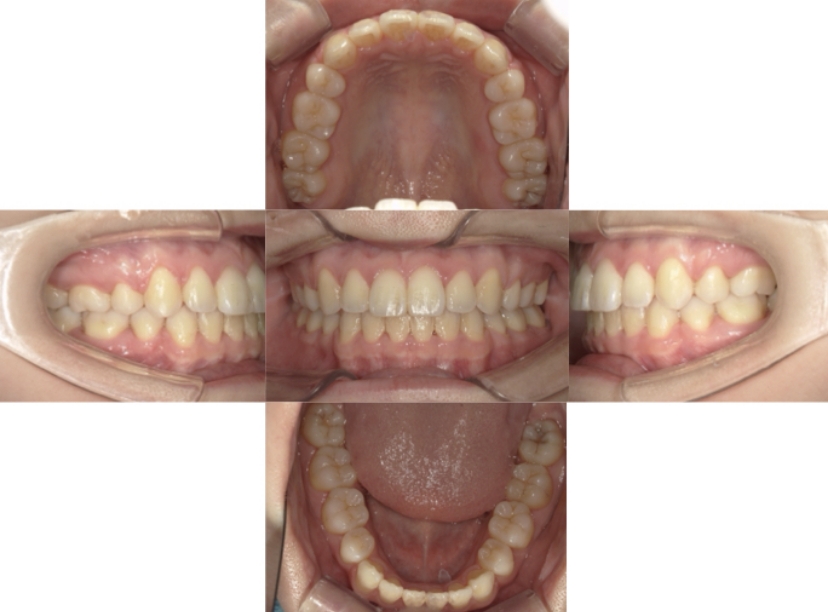
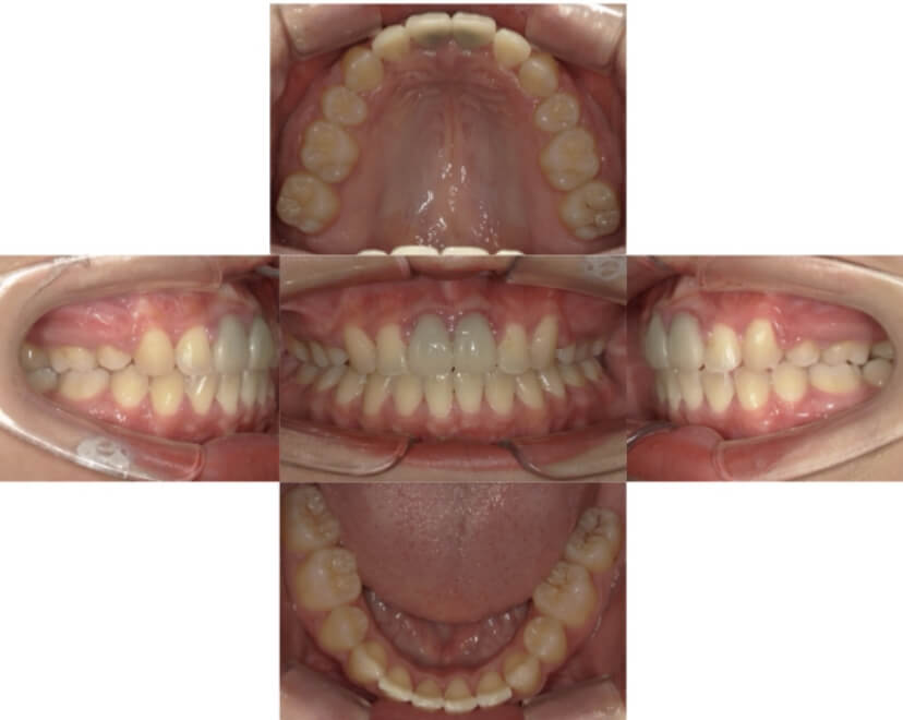
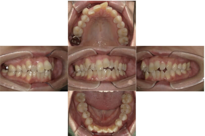
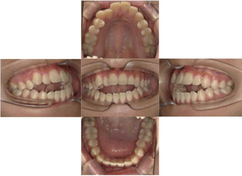
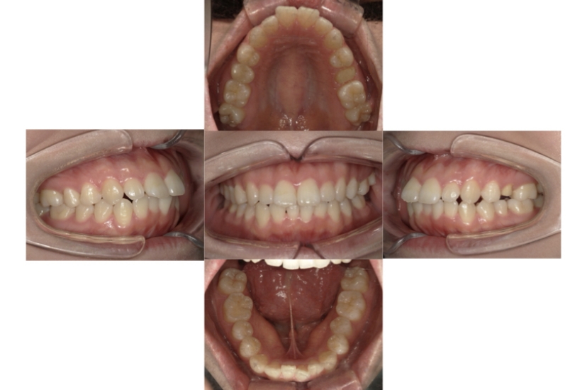
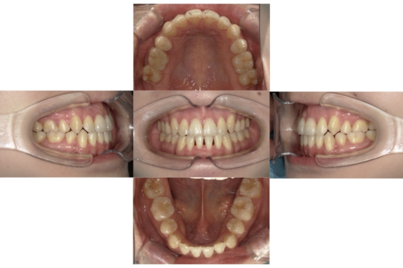
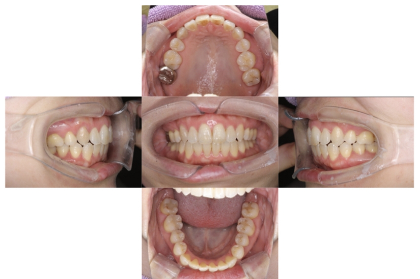
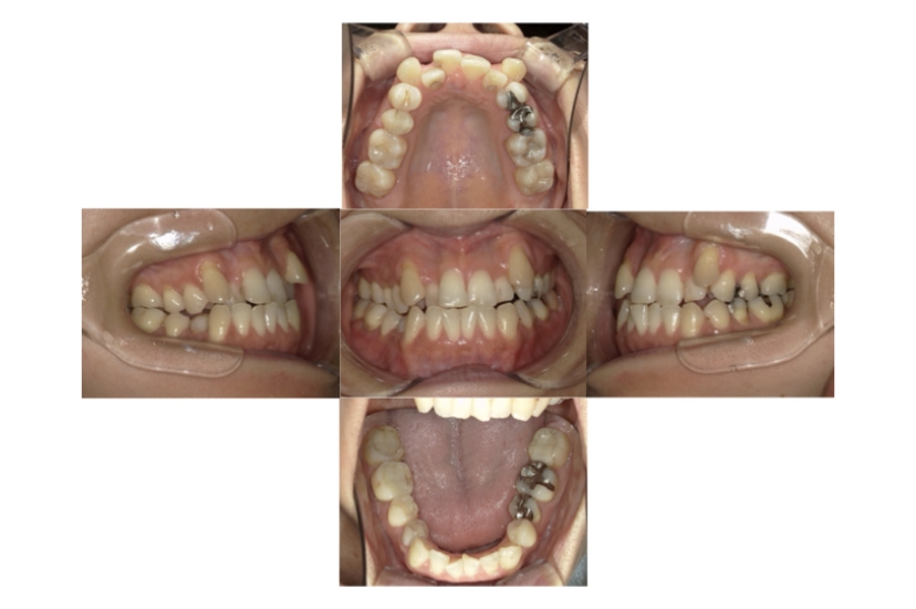
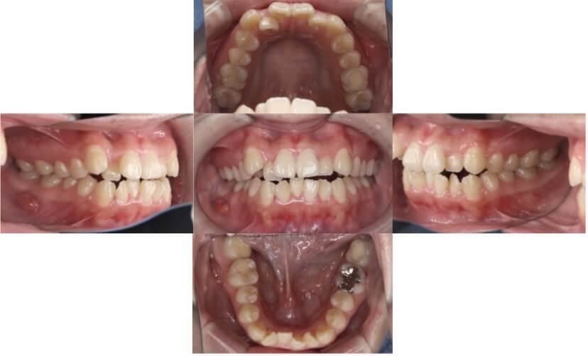
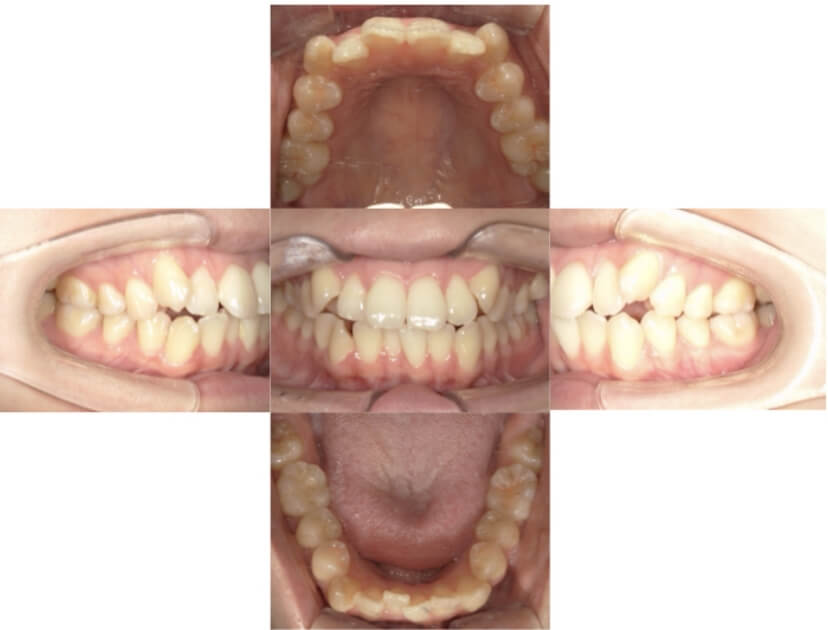
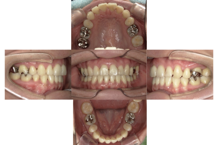
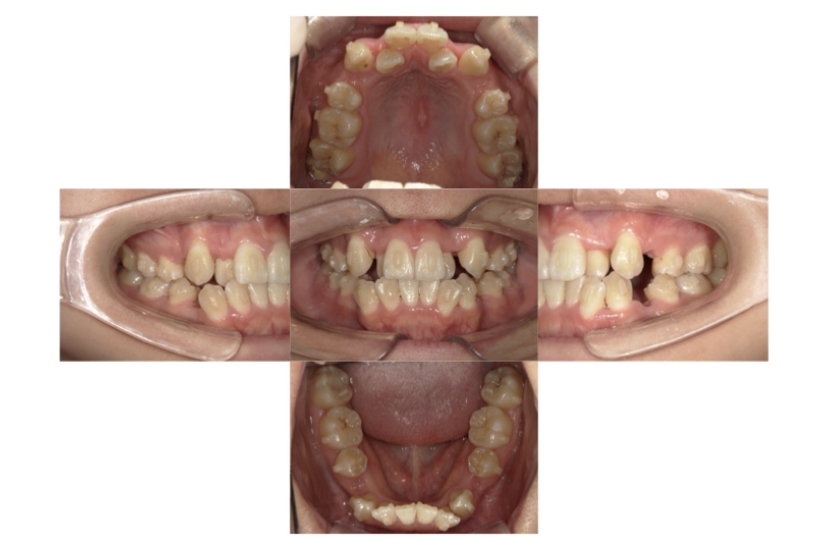
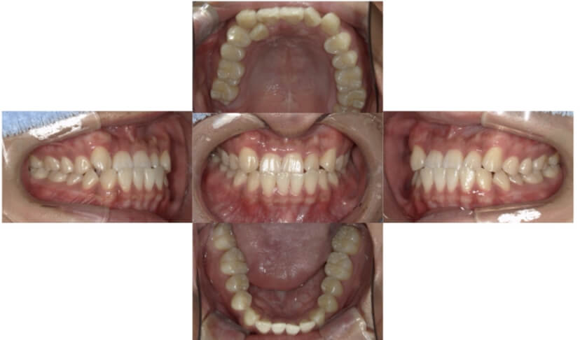
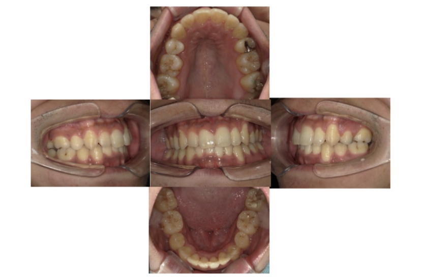
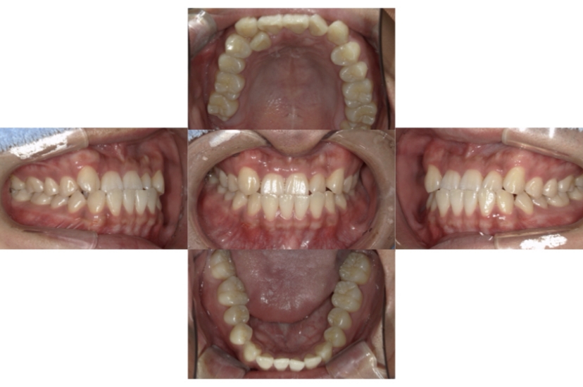
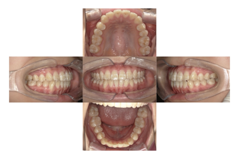
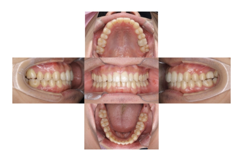
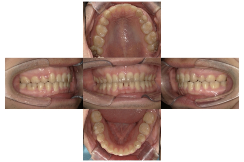
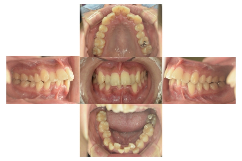
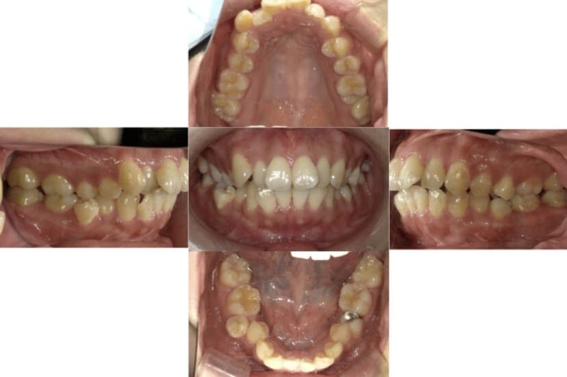
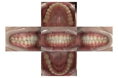
症例2
上下顎前突、叢生
抜歯
ブラケット矯正

症例解説

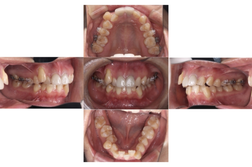
上下顎前突、叢生(上下出っ歯、上下の前歯のガタガタ)のケースです。
装置はラビアル(上下表側)で、上下顎の小臼歯を4本抜歯を行っています。抜歯したスペースを使って、上下の前歯の後方移動と叢生(ガタガタ)の改善を行っています。

主訴 前歯のガタガタと口元がでているのが気になる。
年齢・性別 30歳 女性
お住まいの地域 東京都大田区
治療方針 抜歯スペースを利用して上前歯の叢生(ガタガタ)と口元突出の改善
抜歯部位 上下顎左右第一小臼歯
使用装置 ラビアル(上下表側)、顎間ゴム
治療期間 1年11か月
治療回数 13回
リテーナー クリアリテーナー

リスク及び副作用 矯正治療では以下のリスクや副作用が考えられます。
  • 歯根吸収(歯の根が短くなる症状)
  • 歯肉退縮(歯茎が下がる症状)
  • ブラックトライアングル(歯間乳頭部歯肉の消失)
  • アンキローシス(歯と歯を支える骨が癒着し歯が動かなくなる)
  • 歯髄壊死(歯の神経が失活してしまう状態)
  • スペース残存(歯と歯の間にスペースが残存する)
  • 顎関節症(顎の痛み)
  • 金属アレルギー
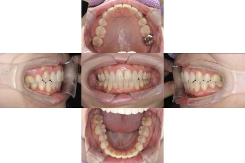
BEFORE
AFTER

費 用

※すべて税込

  • 検査・診断料 27,500円
  • 装置料 759,000円
  • 調整料 5,500円/月(13回)
  • 抜歯 44,000円(1本11,000円)
  • 保定装置料 0円
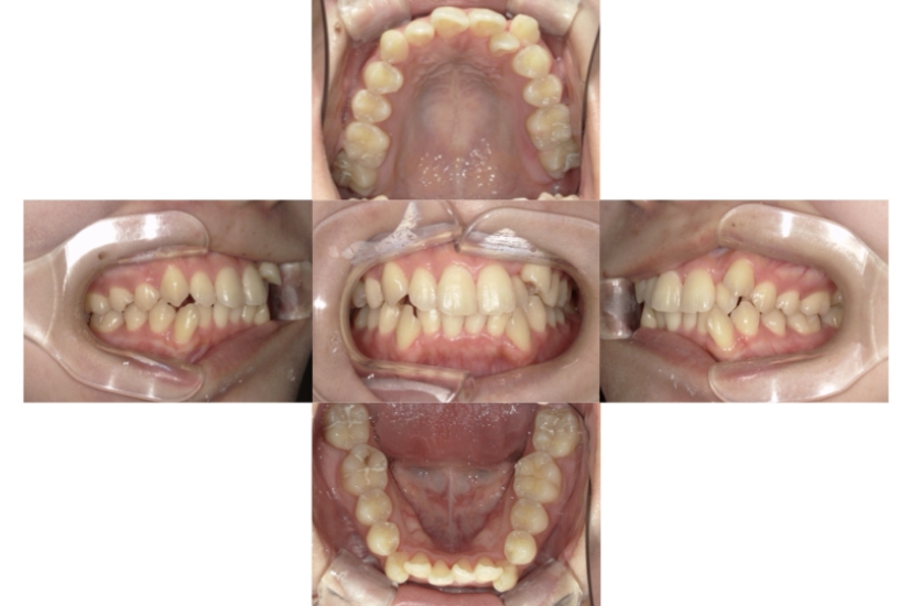
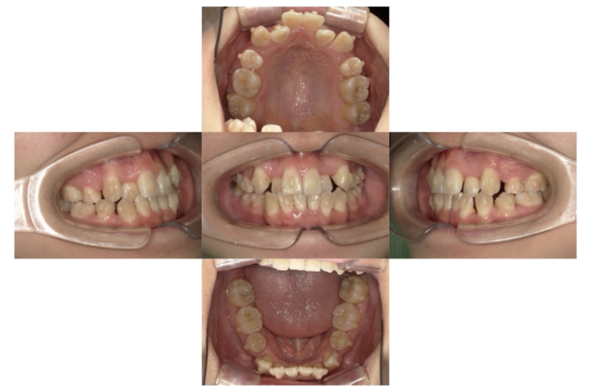
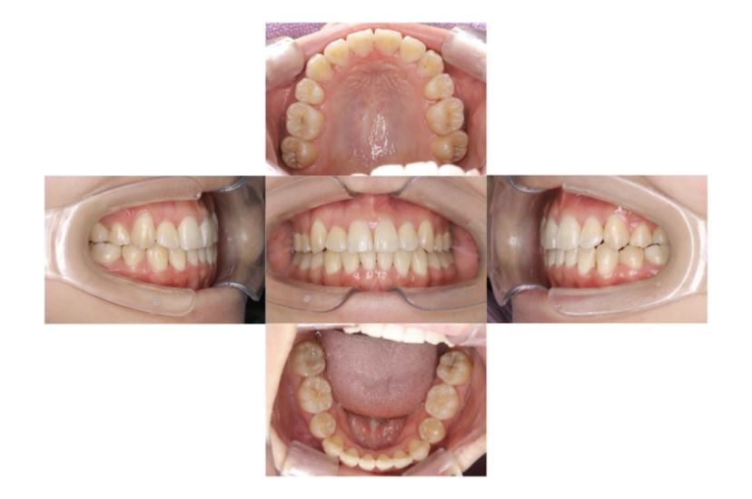
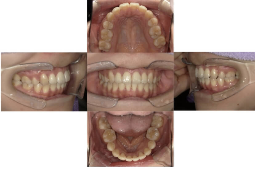
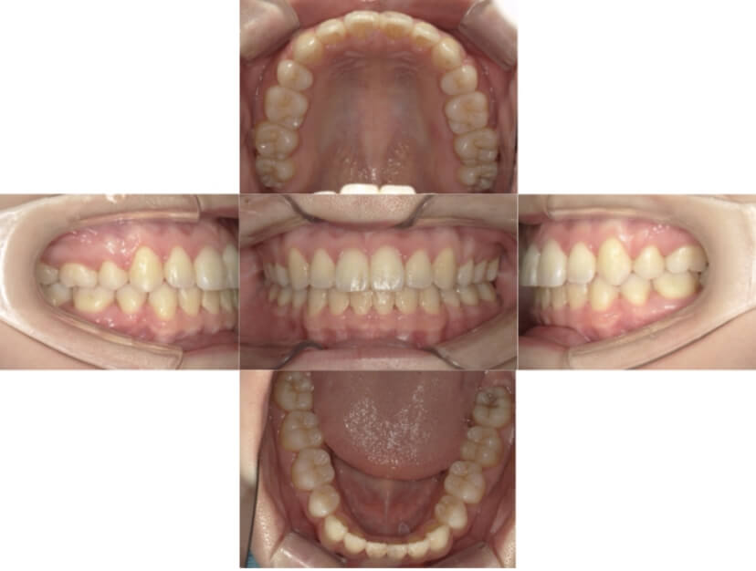
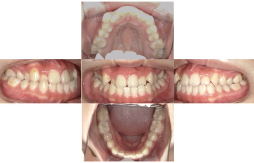
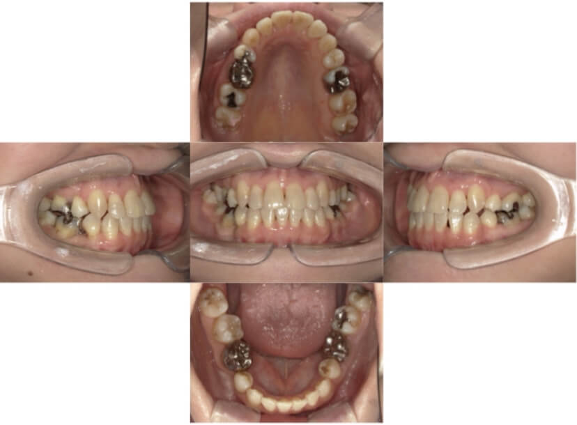
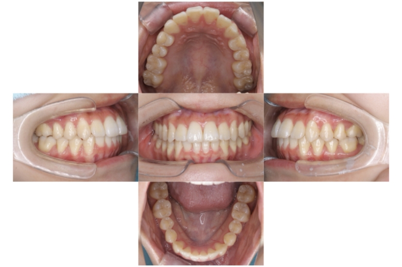
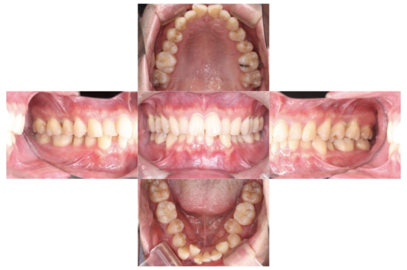
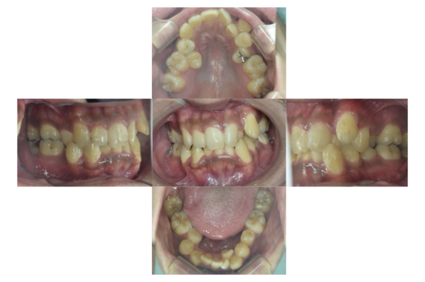
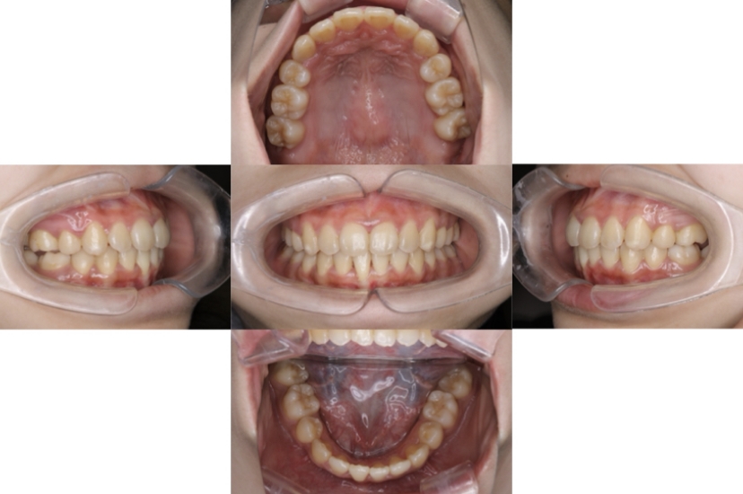
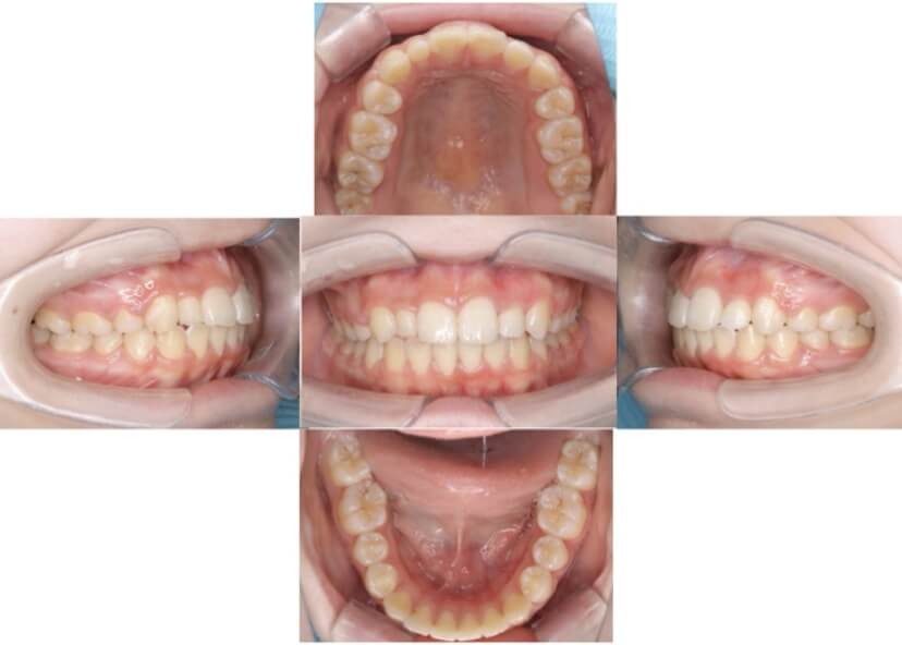
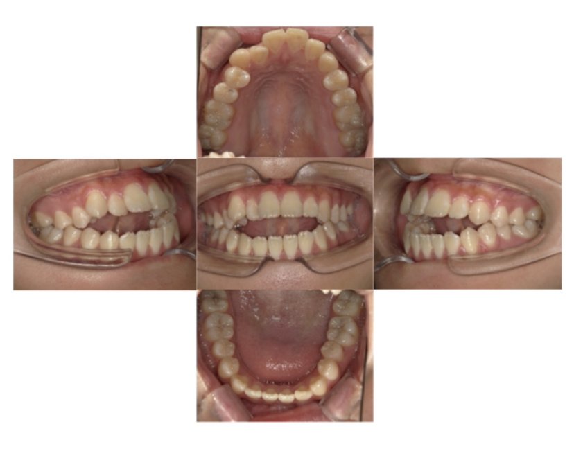
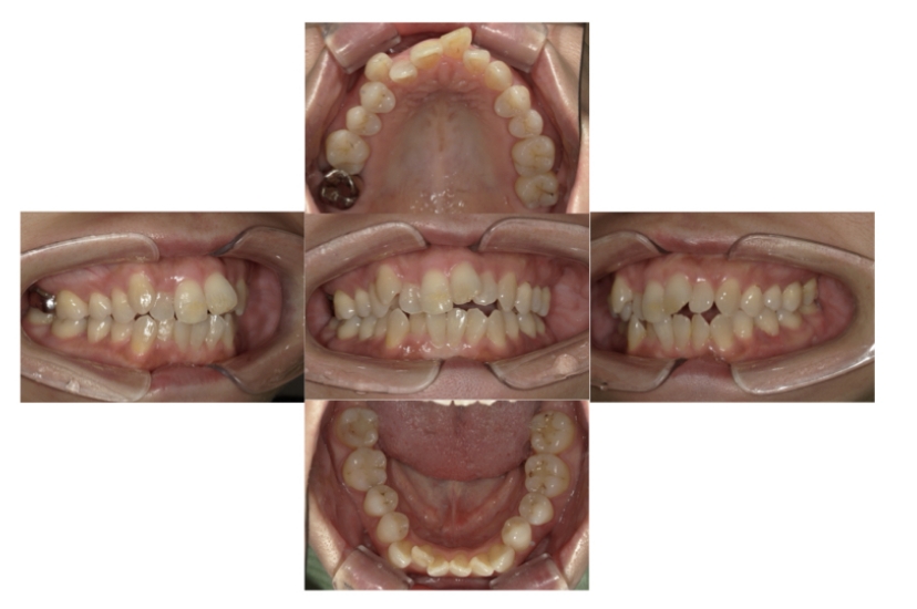
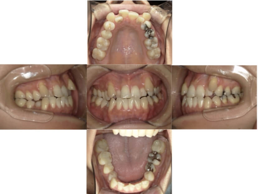
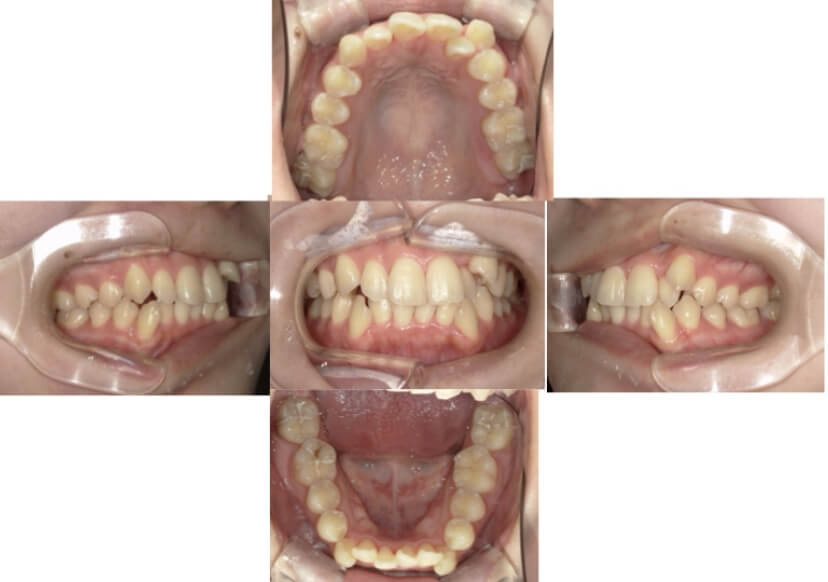
症例3
叢生
抜歯
ブラケット矯正

症例解説

上下顎叢生(上下の前歯のガタガタ)のケースです。
装置はラビアル(上下表側)で、上下顎の小臼歯を4本抜歯を行っています。抜歯したスペースを使って、上下の前歯の後方移動と叢生(ガタガタ)の改善を行っています。

主訴 八重歯を治したい。
年齢・性別 25歳 女性
お住まいの地域 神奈川県川崎市
治療方針 抜歯スペースを利用して上前歯の叢生(ガタガタ)の改善
抜歯部位 上下顎左右第一小臼歯
使用装置 ラビアル(上下表側)、顎間ゴム
治療期間 1年11か月
治療回数 16回
リテーナー クリアリテーナー

リスク及び副作用 矯正治療では以下のリスクや副作用が考えられます。
  • 歯根吸収(歯の根が短くなる症状)
  • 歯肉退縮(歯茎が下がる症状)
  • ブラックトライアングル(歯間乳頭部歯肉の消失)
  • アンキローシス(歯と歯を支える骨が癒着し歯が動かなくなる)
  • 歯髄壊死(歯の神経が失活してしまう状態)
  • スペース残存(歯と歯の間にスペースが残存する)
  • 顎関節症(顎の痛み)
  • 金属アレルギー
BEFORE
AFTER

費 用

※すべて税込

  • 検査・診断料 27,500円
  • 装置料 869,000円
  • 調整料 5,500円/月(16回)
  • 抜歯 44,000円(1本11,000円)
  • 保定装置料 0円
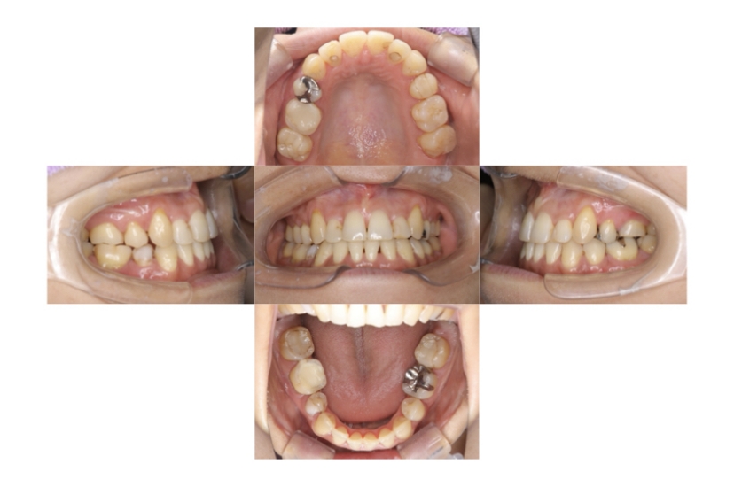
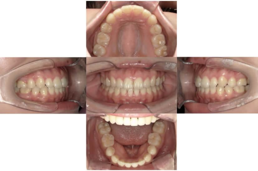
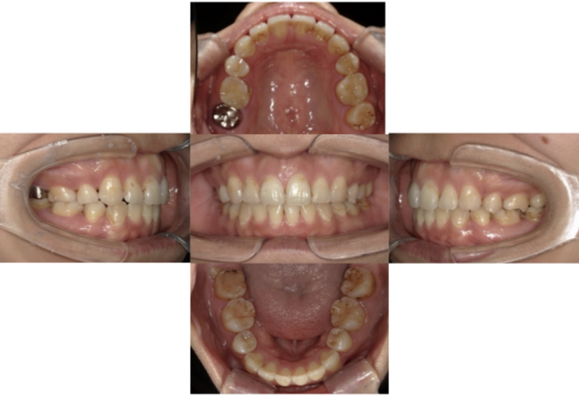
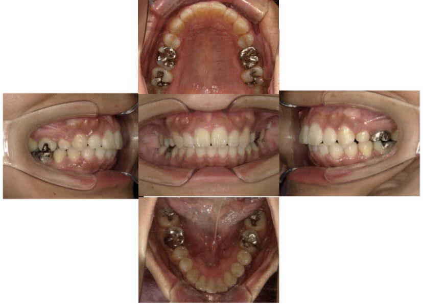
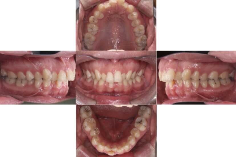
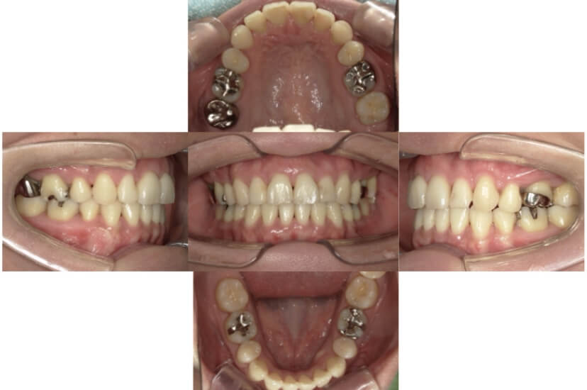
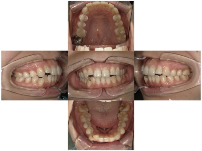
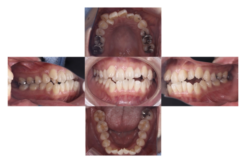
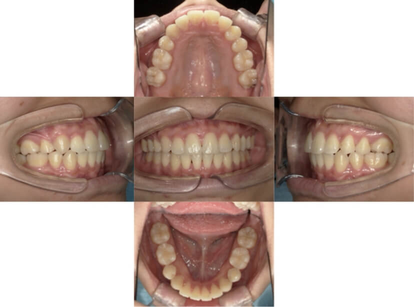
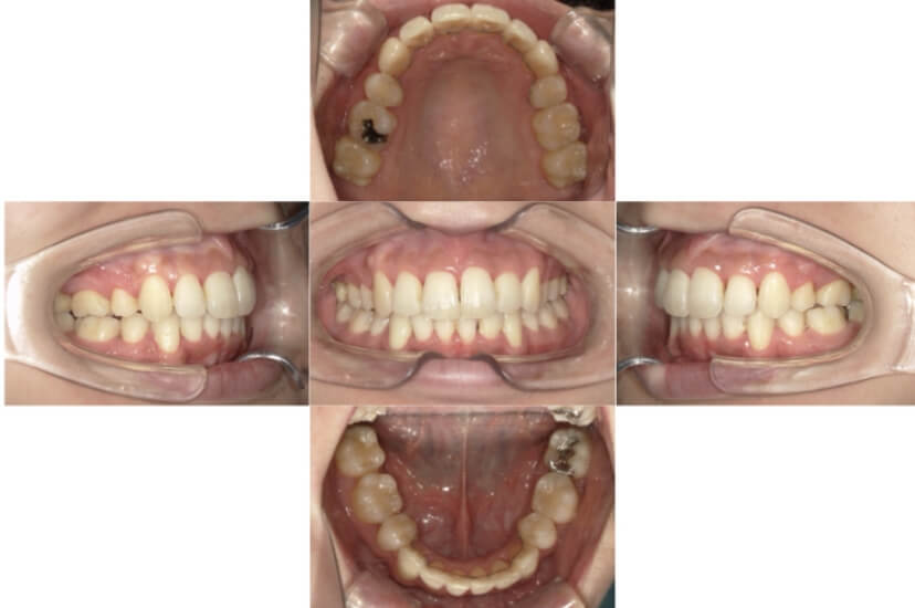
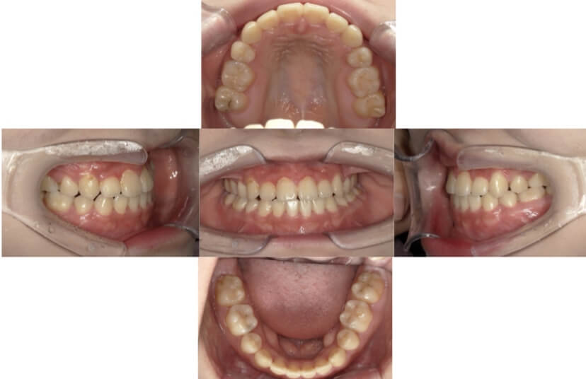
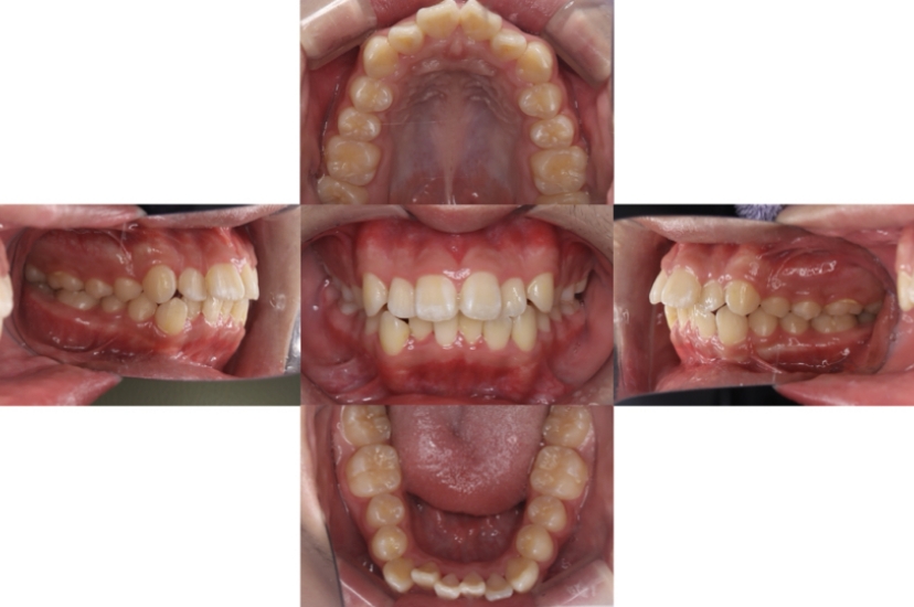
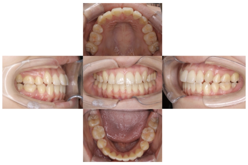
症例4
下顎前突、叢生
抜歯
ブラケット矯正

症例解説

上下顎叢生、反対咬合(上下の前歯のガタガタ、若干受け口)のケースです。
装置はラビアル(上下表側)で、上下顎の小臼歯を4本抜歯を行っています。抜歯したスペースを使って、上下の叢生改善と前歯の受け口の改善を行っています。

主訴 前歯のガタガタを治したい。
年齢・性別 45歳 女性
お住まいの地域 神奈川県川崎市
治療方針 抜歯スペースを利用して上前歯の叢生(ガタガタ)の改善と受け口の改善
抜歯部位 上顎左右第一小臼歯、下顎左右第二小臼歯
使用装置 ラビアル(上下表側)、顎間ゴム
治療期間 2年6か月
治療回数 20回
リテーナー クリアリテーナー

リスク及び副作用 矯正治療では以下のリスクや副作用が考えられます。
  • 歯根吸収(歯の根が短くなる症状)
  • 歯肉退縮(歯茎が下がる症状)
  • ブラックトライアングル(歯間乳頭部歯肉の消失)
  • アンキローシス(歯と歯を支える骨が癒着し歯が動かなくなる)
  • 歯髄壊死(歯の神経が失活してしまう状態)
  • スペース残存(歯と歯の間にスペースが残存する)
  • 顎関節症(顎の痛み)
  • 金属アレルギー
BEFORE
AFTER

費 用

※すべて税込

  • 検査・診断料 27,500円
  • 装置料 759,000円
  • 調整料 5,500円/月(20回)
  • 抜歯 44,000円(1本11,000円)
  • 保定装置料 0円
症例5
開咬
抜歯
ブラケット矯正

症例解説

前歯部開咬(上下の前歯が咬んでいない)のケースです。
装置はラビアル(上下表側)で、上下顎の小臼歯を4本抜歯で治療を行いました。抜歯スペースを利用して上下前歯の後方移動を行い、顎間ゴムを使って上下前歯の開咬の改善を行っています。

主訴 前歯の咬んでないので食事がしづらい。
年齢・性別 23歳 女性
お住まいの地域 東京都品川区
治療方針 抜歯スペースを利用して上前歯の叢生(ガタガタ)および開咬の改善
抜歯部位 上下顎左右第一小臼歯
使用装置 ラビアル(上下表側)、顎間ゴム
治療期間 1年11か月
治療回数 14回
リテーナー クリアリテーナー

リスク及び副作用 矯正治療では以下のリスクや副作用が考えられます。
  • 歯根吸収(歯の根が短くなる症状)
  • 歯肉退縮(歯茎が下がる症状)
  • ブラックトライアングル(歯間乳頭部歯肉の消失)
  • アンキローシス(歯と歯を支える骨が癒着し歯が動かなくなる)
  • 歯髄壊死(歯の神経が失活してしまう状態)
  • スペース残存(歯と歯の間にスペースが残存する)
  • 顎関節症(顎の痛み)
  • 金属アレルギー
BEFORE
AFTER

費 用

※すべて税込

  • 検査・診断料 27,500円
  • 装置料 869,000円
  • 調整料 5,500円/月(20回)
  • 抜歯 44,000円(1本11,000円)
  • 保定装置料 0円
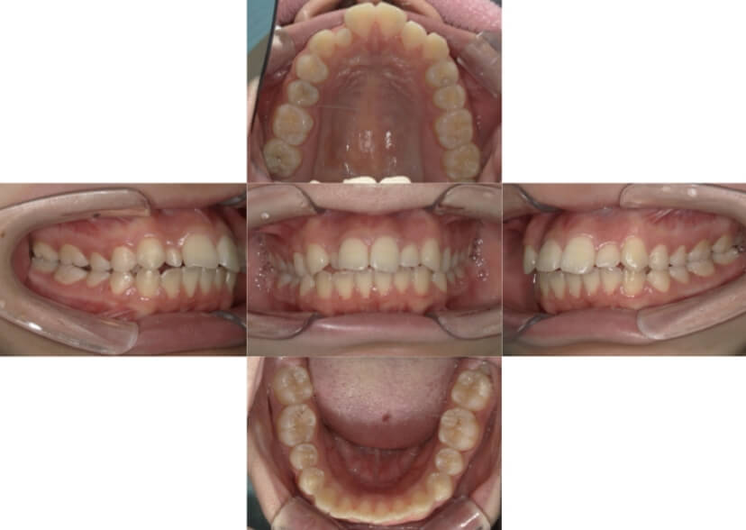
症例6
叢生
抜歯
ブラケット矯正

症例解説

上下顎前歯部叢生(上下の前歯のガタガタ)のケースです。
装置はラビアル(上下表側)で、上顎の小臼歯を2本抜歯で治療を行いました。抜歯スペースを利用して上前歯の叢生を行い、下顎はIPR(歯間隣接面削合)を行ってスペースを作り、叢生を改善しています。

主訴 八重歯が気になる。
年齢・性別 31歳 女性
お住まいの地域 東京都大田区
治療方針 抜歯スペースを利用して上前歯の叢生(ガタガタ)の改善、IPRを行って下前歯の叢生改善
抜歯部位 上顎左右第一小臼歯
使用装置 ラビアル(上下表側)、顎間ゴム
治療期間 2年6か月
治療回数 19回
リテーナー クリアリテーナー

リスク及び副作用 矯正治療では以下のリスクや副作用が考えられます。
  • 歯根吸収(歯の根が短くなる症状)
  • 歯肉退縮(歯茎が下がる症状)
  • ブラックトライアングル(歯間乳頭部歯肉の消失)
  • アンキローシス(歯と歯を支える骨が癒着し歯が動かなくなる)
  • 歯髄壊死(歯の神経が失活してしまう状態)
  • スペース残存(歯と歯の間にスペースが残存する)
  • 顎関節症(顎の痛み)
  • 金属アレルギー
BEFORE
AFTER

費 用

※すべて税込

  • 検査・診断料 27,500円
  • 装置料 759,000円
  • 調整料 5,500円/月(19回)
  • 抜歯 22,000円(1本11,000円)
  • 保定装置料 0円
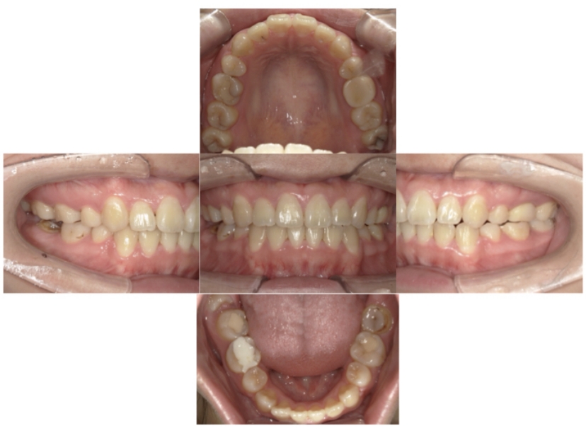
症例7
叢生
抜歯
ブラケット矯正

症例解説

上下顎叢生(上下の前歯のガタガタ)のケースです。
装置はラビアル(上下表側)で、上下顎の小臼歯を4本抜歯を行っています。抜歯したスペースを使って、上下の前歯の後方移動と叢生(ガタガタ)の改善を行っています。

主訴 下前歯のガタガタと左上2番目の歯並びを治したい。
年齢・性別 25歳 男性
お住まいの地域 神奈川県川崎市
治療方針 抜歯スペースを利用して上下前歯の叢生(ガタガタ)の改善
抜歯部位 上下顎左右第一小臼歯
使用装置 ラビアル(上下表側)、顎間ゴム
治療期間 1年10か月
治療回数 14回
リテーナー クリアリテーナー

リスク及び副作用 矯正治療では以下のリスクや副作用が考えられます。
  • 歯根吸収(歯の根が短くなる症状)
  • 歯肉退縮(歯茎が下がる症状)
  • ブラックトライアングル(歯間乳頭部歯肉の消失)
  • アンキローシス(歯と歯を支える骨が癒着し歯が動かなくなる)
  • 歯髄壊死(歯の神経が失活してしまう状態)
  • スペース残存(歯と歯の間にスペースが残存する)
  • 顎関節症(顎の痛み)
  • 金属アレルギー
BEFORE
AFTER

費 用

※すべて税込

  • 検査・診断料 27,500円
  • 装置料 869,000円
  • 調整料 5,500円/月(14回)
  • 抜歯 44,000円(1本11,000円)
  • 保定装置料 0円
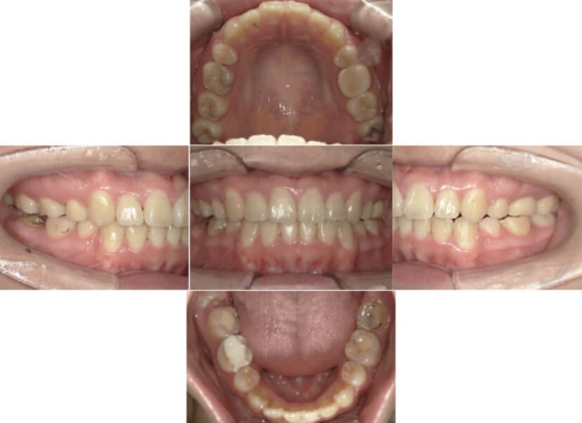
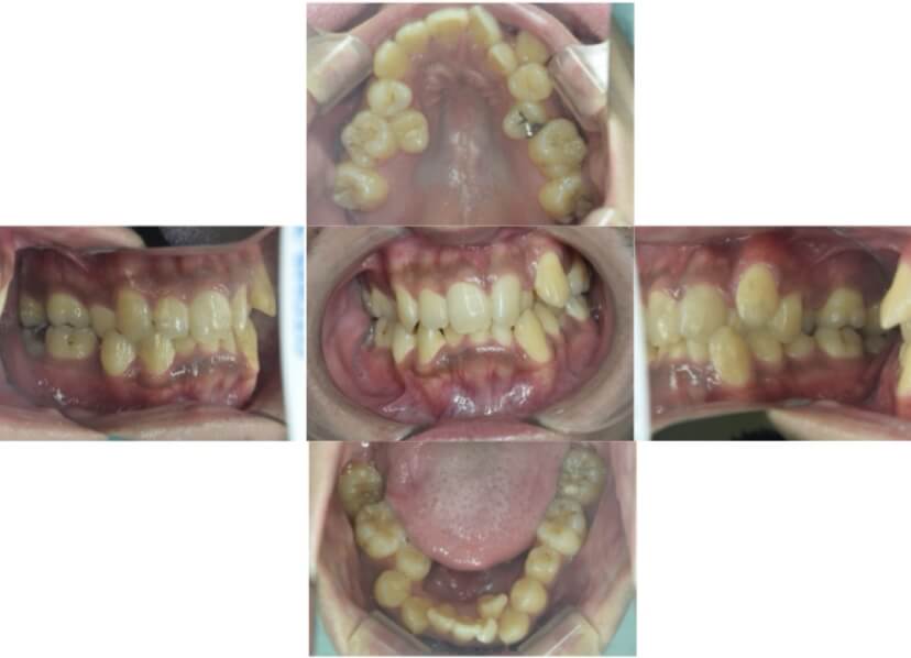
症例8
叢生
抜歯
ブラケット矯正

症例解説

上下顎叢生(上下の前歯のガタガタ)のケースです。
装置はラビアル(上下表側)で、上下顎の小臼歯を4本抜歯を行っています。抜歯したスペースを使って、上下の前歯の後方移動と叢生(ガタガタ)の改善を行っています。

主訴 歯並びが悪く、舌を噛んでしまうのを治したい。
年齢・性別 27歳 男性
お住まいの地域 東京都大田区
治療方針 抜歯スペースを利用して上下前歯の叢生(ガタガタ)の改善
抜歯部位 上下顎左右第一小臼歯
使用装置 ラビアル(上下表側)、顎間ゴム
治療期間 3年1か月
治療回数 30回
リテーナー クリアリテーナー

リスク及び副作用 矯正治療では以下のリスクや副作用が考えられます。
  • 歯根吸収(歯の根が短くなる症状)
  • 歯肉退縮(歯茎が下がる症状)
  • ブラックトライアングル(歯間乳頭部歯肉の消失)
  • アンキローシス(歯と歯を支える骨が癒着し歯が動かなくなる)
  • 歯髄壊死(歯の神経が失活してしまう状態)
  • スペース残存(歯と歯の間にスペースが残存する)
  • 顎関節症(顎の痛み)
  • 金属アレルギー
BEFORE
治療経過
治療経過
AFTER

費 用

※すべて税込

  • 検査・診断料 27,500円
  • 装置料 759,000円
  • 調整料 5,500円/月(30回)
  • 抜歯 44,000円(1本11,000円)
  • 保定装置料 0円
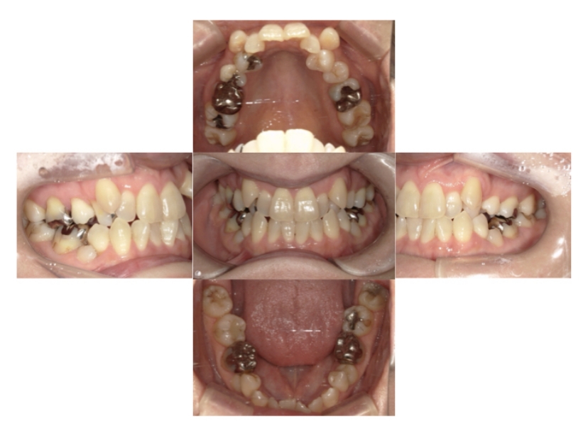
症例9
叢生
抜歯
ブラケット矯正

症例解説

上下顎叢生(上下の前歯のガタガタ)のケースです。
装置はラビアル(上下表側)で、右上以外の小臼歯を3本、右上は犬歯の抜歯を行っています。抜歯したスペースを使って、上下の前歯の後方移動と叢生(ガタガタ)の改善を行っています。

主訴 八重歯を治したい。
年齢・性別 27歳 女性
お住まいの地域 東京都港区
治療方針 抜歯スペースを利用して上下前歯の叢生(ガタガタ)の改善
抜歯部位 上顎右側犬歯、上顎左側第一小臼歯、下顎両側第一小臼歯
使用装置 ラビアル(上下表側)、顎間ゴム
治療期間 3年3か月
治療回数 25回
リテーナー クリアリテーナー

リスク及び副作用 矯正治療では以下のリスクや副作用が考えられます。
  • 歯根吸収(歯の根が短くなる症状)
  • 歯肉退縮(歯茎が下がる症状)
  • ブラックトライアングル(歯間乳頭部歯肉の消失)
  • アンキローシス(歯と歯を支える骨が癒着し歯が動かなくなる)
  • 歯髄壊死(歯の神経が失活してしまう状態)
  • スペース残存(歯と歯の間にスペースが残存する)
  • 顎関節症(顎の痛み)
  • 金属アレルギー
BEFORE
AFTER

費 用

※すべて税込

  • 検査・診断料 27,500円
  • 装置料 759,000円
  • 調整料 5,500円/月(25回)
  • 抜歯 44,000円(1本11,000円)
  • 保定装置料 0円
症例10
叢生
抜歯
ブラケット矯正

症例解説

上下顎叢生(上下の前歯のガタガタ)のケースです。
装置はラビアル(上下表側)で、上下顎の小臼歯を4本抜歯を行っています。抜歯したスペースを利用し、上下の前歯の後方移動と叢生(ガタガタ)の改善を行っています。口元の出っ張りを改善するため、歯科用アンカースクリューを使用して前歯の後方移動を行いました。

主訴 上下の前歯のガタガタを治したい。 口元を引っ込ませたい。
年齢・性別 22歳 女性
お住まいの地域 東京都大田区
治療方針 抜歯スペースを利用して上下前歯の叢生(ガタガタ)の改善
抜歯部位 上下顎左右第一小臼歯
使用装置 ラビアル(上下表側)、顎間ゴム、歯科用アンカースクリュー
治療期間 2年1か月
治療回数 20回
リテーナー クリアリテーナー

リスク及び副作用 矯正治療では以下のリスクや副作用が考えられます。
  • 歯根吸収(歯の根が短くなる症状)
  • 歯肉退縮(歯茎が下がる症状)
  • ブラックトライアングル(歯間乳頭部歯肉の消失)
  • アンキローシス(歯と歯を支える骨が癒着し歯が動かなくなる)
  • 歯髄壊死(歯の神経が失活してしまう状態)
  • スペース残存(歯と歯の間にスペースが残存する)
  • 顎関節症(顎の痛み)
  • 金属アレルギー
BEFORE
AFTER

費 用

※すべて税込

  • 検査・診断料 27,500円
  • 装置料 759,000円
  • 調整料 5,500円/月(20回)
  • 抜歯 44,000円(1本11,000円)
  • 保定装置料 0円
症例11
叢生
抜歯
ブラケット矯正

症例解説

上下顎叢生(上下の前歯のガタガタ)のケースです。
装置はラビアル(上下表側)で、上下顎の小臼歯を4本抜歯を行っています。抜歯したスペースを利用し、上下の前歯の後方移動と叢生(ガタガタ)の改善を行っています。歯科用アンカースクリューを使用することで、可能な限り前歯を後方移動させています。

主訴 上下の前歯のガタガタで歯が磨きづらい。
年齢・性別 16歳 男性
お住まいの地域 東京都中央区
治療方針 抜歯スペースを利用して上下前歯の叢生(ガタガタ)の改善
抜歯部位 上下顎左右第一小臼歯
使用装置 ラビアル(上下表側)、顎間ゴム、歯科用アンカースクリュー
治療期間 2年3か月
治療回数 24回
リテーナー クリアリテーナー

リスク及び副作用 矯正治療では以下のリスクや副作用が考えられます。
  • 歯根吸収(歯の根が短くなる症状)
  • 歯肉退縮(歯茎が下がる症状)
  • ブラックトライアングル(歯間乳頭部歯肉の消失)
  • アンキローシス(歯と歯を支える骨が癒着し歯が動かなくなる)
  • 歯髄壊死(歯の神経が失活してしまう状態)
  • スペース残存(歯と歯の間にスペースが残存する)
  • 顎関節症(顎の痛み)
  • 金属アレルギー
BEFORE
AFTER

費 用

※すべて税込

  • 検査・診断料 27,500円
  • 装置料 759,000円
  • 調整料 5,500円/月(24回)
  • 抜歯 44,000円(1本11,000円)
  • 保定装置料 0円
症例12
上顎前突、叢生
抜歯
ブラケット矯正

症例解説

上下顎叢生(上下の前歯のガタガタ)および上顎前突のケースです。
装置はラビアル(上下表側)で、左上C(乳歯)と右上および下顎両側の小臼歯を抜歯(計4本)を行っています。抜歯したスペースを利用し、上下の前歯の後方移動と叢生(ガタガタ)の改善を行っています。また、上顎前突改善のため歯科用アンカースクリューを使用し、上顎歯列全体の後方移動をおこないました。

主訴 上下の前歯のガタガタと出っ歯を治したい。
年齢・性別 16歳 男性
お住まいの地域 神奈川県川崎市
治療方針 抜歯スペースを利用して上下前歯の叢生(ガタガタ)の改善、上顎歯列の遠心移動
抜歯部位 上顎右側第一小臼歯、上顎左側乳犬歯、下顎両側第一小臼歯
使用装置 ラビアル(上下表側)、顎間ゴム、歯科用アンカースクリュー
治療期間 2年8か月
治療回数 21回
リテーナー クリアリテーナー

リスク及び副作用 矯正治療では以下のリスクや副作用が考えられます。
  • 歯根吸収(歯の根が短くなる症状)
  • 歯肉退縮(歯茎が下がる症状)
  • ブラックトライアングル(歯間乳頭部歯肉の消失)
  • アンキローシス(歯と歯を支える骨が癒着し歯が動かなくなる)
  • 歯髄壊死(歯の神経が失活してしまう状態)
  • スペース残存(歯と歯の間にスペースが残存する)
  • 顎関節症(顎の痛み)
  • 金属アレルギー
BEFORE
AFTER

費 用

※すべて税込

  • 検査・診断料 27,500円
  • 装置料 759,000円
  • 調整料 5,500円/月(21回)
  • 抜歯 44,000円(1本11,000円)
  • 保定装置料 0円
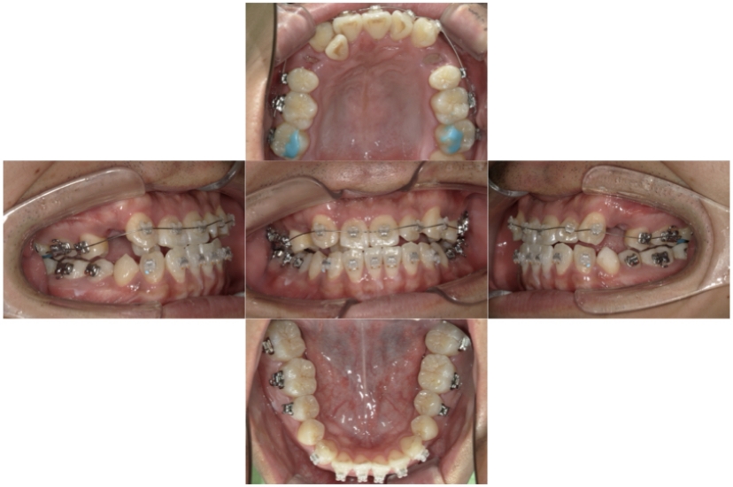
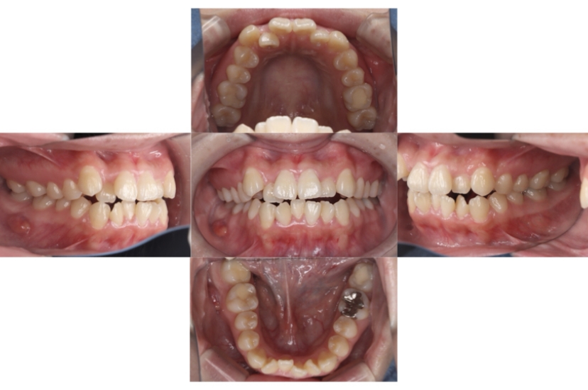
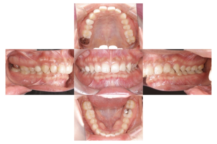
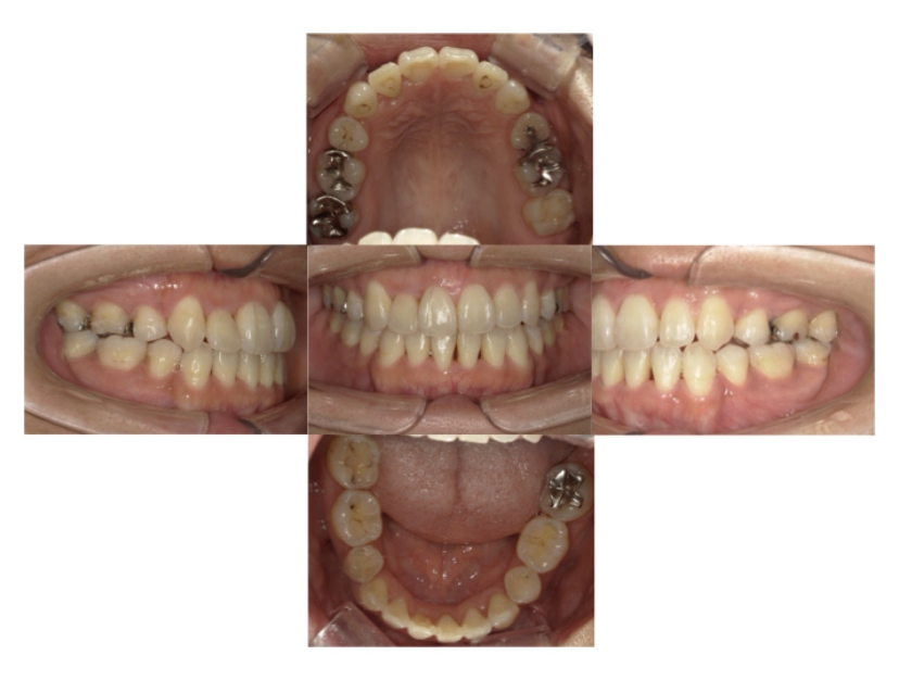
症例13
叢生、開咬
抜歯
ブラケット矯正

症例解説

上下顎叢生(上下の前歯のガタガタ)および開咬のケースです。
装置はラビアル(上下表側)で、上下顎両側小臼歯を抜歯(計4本)を行っています。抜歯したスペースを利用し、上下の前歯の後方移動と叢生(ガタガタ)の改善を行っています。また、開咬改善のため顎間ゴムを使用しました。

主訴 上下の前歯のガタガタと咬み合わせを治したい。
年齢・性別 43歳 女性
お住まいの地域 東京都品川区
治療方針 抜歯スペースを利用して上下前歯の叢生(ガタガタ)の改善、顎間ゴムで開咬の改善
抜歯部位 上下顎両側第一小臼歯
使用装置 ラビアル(上下表側)、顎間ゴム
治療期間 2年5か月
治療回数 25回
リテーナー クリアリテーナー

リスク及び副作用 矯正治療では以下のリスクや副作用が考えられます。
  • 歯根吸収(歯の根が短くなる症状)
  • 歯肉退縮(歯茎が下がる症状)
  • ブラックトライアングル(歯間乳頭部歯肉の消失)
  • アンキローシス(歯と歯を支える骨が癒着し歯が動かなくなる)
  • 歯髄壊死(歯の神経が失活してしまう状態)
  • スペース残存(歯と歯の間にスペースが残存する)
  • 顎関節症(顎の痛み)
  • 金属アレルギー
BEFORE
AFTER

費 用

※すべて税込

  • 検査・診断料 27,500円
  • 装置料 759,000円
  • 調整料 5,500円/月(25回)
  • 抜歯 44,000円(1本11,000円)
  • 保定装置料 0円
症例14
上下顎前突
抜歯
ブラケット矯正

症例解説

上下顎前突(両側出っ歯)のケースです。
装置はラビアル(上下表側)で、上下顎両側小臼歯を抜歯(計4本)を行っています。抜歯したスペースを利用し、上下の前歯の後方移動を行っています。

主訴 上下の前歯を引っ込めて口を閉じやすくしたい。
年齢・性別 30歳 女性
お住まいの地域 神奈川県横浜市
治療方針 抜歯スペースを利用して上下前歯の後方移動を行い口元突出の改善
抜歯部位 上下顎両側第一小臼歯
使用装置 ラビアル(上下表側)、顎間ゴム
治療期間 1年5か月
治療回数 11回
リテーナー クリアリテーナー

リスク及び副作用 矯正治療では以下のリスクや副作用が考えられます。
  • 歯根吸収(歯の根が短くなる症状)
  • 歯肉退縮(歯茎が下がる症状)
  • ブラックトライアングル(歯間乳頭部歯肉の消失)
  • アンキローシス(歯と歯を支える骨が癒着し歯が動かなくなる)
  • 歯髄壊死(歯の神経が失活してしまう状態)
  • スペース残存(歯と歯の間にスペースが残存する)
  • 顎関節症(顎の痛み)
  • 金属アレルギー
BEFORE
AFTER

費 用

※すべて税込

  • 検査・診断料 27,500円
  • 装置料 759,000円
  • 調整料 5,500円/月(11回)
  • 抜歯 44,000円(1本11,000円)
  • 保定装置料 0円
症例15
叢生
抜歯
ブラケット矯正

症例解説

上下顎叢生(ガタガタ)のケースです。
装置はラビアル(上下表側)で、上下顎両側小臼歯を抜歯(計4本)を行っています。抜歯したスペースを利用し、上下の叢生の改善を行っています。

主訴 上下の前歯のガタガタを治したい。
年齢・性別 25歳 女性
お住まいの地域 東京都大田区
治療方針 抜歯スペースを利用して上下前歯の叢生の改善
抜歯部位 上下顎両側第一小臼歯
使用装置 ラビアル(上下表側)、顎間ゴム
治療期間 1年10か月
治療回数 17回
リテーナー クリアリテーナー

リスク及び副作用 矯正治療では以下のリスクや副作用が考えられます。
  • 歯根吸収(歯の根が短くなる症状)
  • 歯肉退縮(歯茎が下がる症状)
  • ブラックトライアングル(歯間乳頭部歯肉の消失)
  • アンキローシス(歯と歯を支える骨が癒着し歯が動かなくなる)
  • 歯髄壊死(歯の神経が失活してしまう状態)
  • スペース残存(歯と歯の間にスペースが残存する)
  • 顎関節症(顎の痛み)
  • 金属アレルギー
BEFORE
AFTER

費 用

※すべて税込

  • 検査・診断料 27,500円
  • 装置料 759,000円
  • 調整料 5,500円/月(17回)
  • 抜歯 44,000円(1本11,000円)
  • 保定装置料 0円
症例16
上下顎前突
抜歯
ブラケット矯正

症例解説

上下顎前突(両側出っ歯)のケースです。
装置はラビアル(上下表側)で、上下顎両側小臼歯を抜歯(計4本)を行っています。抜歯したスペースを利用し、上下の前歯の後方移動を行い前突の改善を行っています。

主訴 上下の前歯のガタガタを治したい。
年齢・性別 28歳 女性
お住まいの地域 東京都目黒区
治療方針 抜歯スペースを利用して上下の出っ歯の改善
抜歯部位 上下顎両側第一小臼歯
使用装置 ラビアル(上下表側)、顎間ゴム
治療期間 1年10か月
治療回数 13回
リテーナー クリアリテーナー

リスク及び副作用 矯正治療では以下のリスクや副作用が考えられます。
  • 歯根吸収(歯の根が短くなる症状)
  • 歯肉退縮(歯茎が下がる症状)
  • ブラックトライアングル(歯間乳頭部歯肉の消失)
  • アンキローシス(歯と歯を支える骨が癒着し歯が動かなくなる)
  • 歯髄壊死(歯の神経が失活してしまう状態)
  • スペース残存(歯と歯の間にスペースが残存する)
  • 顎関節症(顎の痛み)
  • 金属アレルギー
BEFORE
AFTER

費 用

※すべて税込

  • 検査・診断料 27,500円
  • 装置料 759,000円
  • 調整料 5,500円/月(13回)
  • 抜歯 44,000円(1本11,000円)
  • 保定装置料 0円
症例17
上顎前突、叢生
抜歯
ブラケット矯正

症例解説

上下顎叢生、上顎前突(出っ歯、上下の前歯のガタガタ)のケースです。
装置はラビアル(上下表側)で、上顎の小臼歯を2本抜歯、下顎は前歯を1本抜歯しています。抜歯スペースを使って、上の前歯の後方移動と叢生(ガタガタ)と出っ歯の改善を行っています。下1本抜歯した前歯のスペースを使って叢生の改善を行っています。

主訴 前歯のガタガタと出っ歯が気になる。
年齢・性別 23歳 男性
お住まいの地域 神奈川県川崎市
治療方針 抜歯スペースを利用して上下前歯の叢生(ガタガタ)の改善、上顎前突の改善
抜歯部位 上顎左右第一小臼歯、下顎左側中切歯
使用装置 ラビアル(上下表側)、顎間ゴム
治療期間 1年11か月
治療回数 13回
リテーナー クリアリテーナー

リスク及び副作用 矯正治療では以下のリスクや副作用が考えられます。
  • 歯根吸収(歯の根が短くなる症状)
  • 歯肉退縮(歯茎が下がる症状)
  • ブラックトライアングル(歯間乳頭部歯肉の消失)
  • アンキローシス(歯と歯を支える骨が癒着し歯が動かなくなる)
  • 歯髄壊死(歯の神経が失活してしまう状態)
  • スペース残存(歯と歯の間にスペースが残存する)
  • 顎関節症(顎の痛み)
  • 金属アレルギー
BEFORE
AFTER

費 用

※すべて税込

  • 検査・診断料 27,500円
  • 装置料 759,000円
  • 調整料 5,500円/月(13回)
  • 抜歯 33,000円(1本11,000円)
  • 保定装置料 0円
症例18
側方偏位、過蓋咬合
抜歯
ブラケット矯正

症例解説

過蓋咬合および下顎非対称のケースです。
装置はラビアル(上下表側)です。下顎が右に偏位していたので上顎右側の小臼歯を1本抜歯、下顎は抜歯しておりません。抜歯スペースを使って、右側の臼歯の咬合を作りました。また、ワイヤーにて前歯の圧下を行い、過蓋咬合の改善をおこないました。

主訴 咬み合わせが深いのが気になる。
年齢・性別 25歳 女性
お住まいの地域 東京都品川区
治療方針 ワイヤーにより過蓋咬合の改善、上顎右側の小臼歯抜歯により臼歯関係の改善
抜歯部位 上顎右第一小臼歯
使用装置 ラビアル(上下表側)、顎間ゴム
治療期間 1年6か月
治療回数 14回
リテーナー クリアリテーナー

リスク及び副作用 矯正治療では以下のリスクや副作用が考えられます。
  • 歯根吸収(歯の根が短くなる症状)
  • 歯肉退縮(歯茎が下がる症状)
  • ブラックトライアングル(歯間乳頭部歯肉の消失)
  • アンキローシス(歯と歯を支える骨が癒着し歯が動かなくなる)
  • 歯髄壊死(歯の神経が失活してしまう状態)
  • スペース残存(歯と歯の間にスペースが残存する)
  • 顎関節症(顎の痛み)
  • 金属アレルギー
BEFORE
AFTER

費 用

※すべて税込

  • 検査・診断料 27,500円
  • 装置料 759,000円
  • 調整料 5,500円/月(14回)
  • 抜歯 11,000円(1本11,000円)
  • 保定装置料 0円
症例19
叢生
抜歯
ブラケット矯正

症例解説

上下顎叢生(ガタガタ)のケースです。
装置はラビアル(上下表側)で、上下顎両側小臼歯を抜歯(計4本)を行っています。抜歯したスペースを利用し、上下の叢生の改善を行っています。

主訴 上下の前歯のガタガタを治したい。
年齢・性別 29歳 女性
お住まいの地域 東京都港区
治療方針 抜歯スペースを利用して上下前歯の叢生の改善
抜歯部位 上下顎両側第一小臼歯
使用装置 ラビアル(上下表側)、顎間ゴム
治療期間 1年8か月
治療回数 17回
リテーナー クリアリテーナー

リスク及び副作用 矯正治療では以下のリスクや副作用が考えられます。
  • 歯根吸収(歯の根が短くなる症状)
  • 歯肉退縮(歯茎が下がる症状)
  • ブラックトライアングル(歯間乳頭部歯肉の消失)
  • アンキローシス(歯と歯を支える骨が癒着し歯が動かなくなる)
  • 歯髄壊死(歯の神経が失活してしまう状態)
  • スペース残存(歯と歯の間にスペースが残存する)
  • 顎関節症(顎の痛み)
  • 金属アレルギー
BEFORE
AFTER

費 用

※すべて税込

  • 検査・診断料 27,500円
  • 装置料 759,000円
  • 調整料 5,500円/月(17回)
  • 抜歯 44,000円(1本11,000円)
  • 保定装置料 0円
症例20
上下顎前突
抜歯
ブラケット矯正

症例解説

上下顎前突(両側出っ歯)のケースです。
装置はラビアル(上下表側)で、上下顎両側小臼歯を抜歯(計4本)を行っています。抜歯したスペースを利用し、上下の前歯の後方移動を行い前突の改善を行っています。また、口元が下がりすぎないように下顎の第二小臼歯を抜歯しました。

主訴 上下の前歯の出っ歯を治したい。
年齢・性別 30歳 女性
お住まいの地域 東京都品川区
治療方針 抜歯スペースを利用して上下の出っ歯の改善
抜歯部位 上顎両側第一小臼歯、下顎両側第二小臼歯
使用装置 ラビアル(上下表側)、顎間ゴム
治療期間 2年6か月
治療回数 19回
リテーナー クリアリテーナー

リスク及び副作用 矯正治療では以下のリスクや副作用が考えられます。
  • 歯根吸収(歯の根が短くなる症状)
  • 歯肉退縮(歯茎が下がる症状)
  • ブラックトライアングル(歯間乳頭部歯肉の消失)
  • アンキローシス(歯と歯を支える骨が癒着し歯が動かなくなる)
  • 歯髄壊死(歯の神経が失活してしまう状態)
  • スペース残存(歯と歯の間にスペースが残存する)
  • 顎関節症(顎の痛み)
  • 金属アレルギー
BEFORE
AFTER

費 用

※すべて税込

  • 検査・診断料 27,500円
  • 装置料 859,000円
  • 調整料 5,500円/月(19回)
  • 抜歯 44,000円(1本11,000円)
  • 保定装置料 0円
症例21
上顎前突、叢生
抜歯
ブラケット矯正

症例解説

上顎叢生、上顎前突(出っ歯、上下の前歯のガタガタ)のケースです。
装置はラビアル(上下表側)で、上顎の小臼歯を2本抜歯を行っています。抜歯したスペースを使って、上の前歯の後方移動と叢生(ガタガタ)と出っ歯の改善を行っています。

主訴 前歯のガタガタと出っ歯が気になる。
年齢・性別 19歳 女性
お住まいの地域 東京都大田区
治療方針 抜歯スペースを利用して上前歯の叢生(ガタガタ)と上顎前突の改善
抜歯部位 上顎左右第一小臼歯
使用装置 ラビアル(上下表側)、顎間ゴム
治療期間 2年0か月
治療回数 12回
リテーナー クリアリテーナー

リスク及び副作用 矯正治療では以下のリスクや副作用が考えられます。
  • 歯根吸収(歯の根が短くなる症状)
  • 歯肉退縮(歯茎が下がる症状)
  • ブラックトライアングル(歯間乳頭部歯肉の消失)
  • アンキローシス(歯と歯を支える骨が癒着し歯が動かなくなる)
  • 歯髄壊死(歯の神経が失活してしまう状態)
  • スペース残存(歯と歯の間にスペースが残存する)
  • 顎関節症(顎の痛み)
  • 金属アレルギー
BEFORE
AFTER

費 用

※すべて税込

  • 検査・診断料 27,500円
  • 装置料 759,000円
  • 調整料 5,500円/月(12回)
  • 抜歯 22,000円(1本11,000円)
  • 保定装置料 0円
症例22
叢生
抜歯
ブラケット矯正

症例解説

上下顎叢生(ガタガタ)のケースです。
装置はラビアル(上下表側)で、上下顎両側小臼歯を抜歯(計4本)を行っています。抜歯したスペースを利用し、上下の叢生の改善を行っています。

主訴 上下の前歯のガタガタを治したい。下の奥歯が埋まっていて磨きづらい
年齢・性別 43歳 女性
お住まいの地域 東京都江東区
治療方針 抜歯スペースを利用して上下前歯の叢生の改善
抜歯部位 上顎両側第一小臼歯、下顎両側第二小臼歯
使用装置 ラビアル(上下表側)、顎間ゴム
治療期間 2年2か月
治療回数 17回
リテーナー クリアリテーナー

リスク及び副作用 矯正治療では以下のリスクや副作用が考えられます。
  • 歯根吸収(歯の根が短くなる症状)
  • 歯肉退縮(歯茎が下がる症状)
  • ブラックトライアングル(歯間乳頭部歯肉の消失)
  • アンキローシス(歯と歯を支える骨が癒着し歯が動かなくなる)
  • 歯髄壊死(歯の神経が失活してしまう状態)
  • スペース残存(歯と歯の間にスペースが残存する)
  • 顎関節症(顎の痛み)
  • 金属アレルギー
BEFORE
AFTER

費 用

※すべて税込

  • 検査・診断料 27,500円
  • 装置料 759,000円
  • 調整料 5,500円/月(17回)
  • 抜歯 44,000円(1本11,000円)
  • 保定装置料 0円
症例23
叢生
抜歯
ブラケット矯正

症例解説

上下顎叢生(ガタガタ)のケースです。
装置はラビアル(上下表側)で、上下顎両側小臼歯を抜歯(計4本)を行っています。抜歯したスペースを利用し、上下の叢生の改善を行っています。

主訴 上下の前歯のガタガタを治したい。
年齢・性別 38歳 女性
お住まいの地域 神奈川県川崎市
治療方針 抜歯スペースを利用して上下前歯の叢生の改善
抜歯部位 上下顎両側第一小臼歯
使用装置 ラビアル(上下表側)、顎間ゴム
治療期間 1年11か月
治療回数 21回
リテーナー クリアリテーナー

リスク及び副作用 矯正治療では以下のリスクや副作用が考えられます。
  • 歯根吸収(歯の根が短くなる症状)
  • 歯肉退縮(歯茎が下がる症状)
  • ブラックトライアングル(歯間乳頭部歯肉の消失)
  • アンキローシス(歯と歯を支える骨が癒着し歯が動かなくなる)
  • 歯髄壊死(歯の神経が失活してしまう状態)
  • スペース残存(歯と歯の間にスペースが残存する)
  • 顎関節症(顎の痛み)
  • 金属アレルギー
BEFORE
AFTER

費 用

※すべて税込

  • 検査・診断料 27,500円
  • 装置料 759,000円
  • 調整料 5,500円/月(21回)
  • 抜歯 44,000円(1本11,000円)
  • 保定装置料 0円
症例24
上下顎前突
抜歯
ブラケット矯正

症例解説

上下顎前突(両側出っ歯)のケースです。
装置はラビアル(上下表側)で、上下顎両側小臼歯を抜歯(計4本)を行っています。抜歯したスペースを利用し、上下の前歯の後方移動を行い前突の改善を行っています。また、口元が下がりすぎないように下顎の第二小臼歯を抜歯しました。

主訴 口元が出ているのを治したい。
年齢・性別 24歳 女性
お住まいの地域 東京都品川区
治療方針 抜歯スペースを利用して上下前突の改善
抜歯部位 上顎両側第一小臼歯、下顎両側第二小臼歯
使用装置 ラビアル(上下表側)、顎間ゴム
治療期間 1年4か月
治療回数 11回
リテーナー クリアリテーナー

リスク及び副作用 矯正治療では以下のリスクや副作用が考えられます。
  • 歯根吸収(歯の根が短くなる症状)
  • 歯肉退縮(歯茎が下がる症状)
  • ブラックトライアングル(歯間乳頭部歯肉の消失)
  • アンキローシス(歯と歯を支える骨が癒着し歯が動かなくなる)
  • 歯髄壊死(歯の神経が失活してしまう状態)
  • スペース残存(歯と歯の間にスペースが残存する)
  • 顎関節症(顎の痛み)
  • 金属アレルギー
BEFORE
AFTER

費 用

※すべて税込

  • 検査・診断料 27,500円
  • 装置料 869,000円
  • 調整料 5,500円/月(11回)
  • 抜歯 44,000円(1本11,000円)
  • 保定装置料 0円
症例25
上顎前突
抜歯
ブラケット矯正

症例解説

上顎前突(出っ歯)のケースです。
装置はラビアル(上下表側)で、上顎の小臼歯を2本抜歯を行っています。抜歯したスペースを使って、上の前歯の後方移動で出っ歯の改善を行っています。下は前歯が元々1本少ない(先天欠如)だったため抜歯はせずに、歯と歯の間にIPR(隣接面削合)を行い、スペースを確保し、叢生の改善を行っています。

主訴 前歯のガタガタと出っ歯が気になる。
年齢・性別 32歳 女性
お住まいの地域 東京都大田区
治療方針 抜歯スペースおよびIPRを利用して上前歯の叢生(ガタガタ)の改善
抜歯部位 上顎左右第一小臼歯
使用装置 ラビアル(上下表側)、顎間ゴム
治療期間 2年0か月
治療回数 15回
リテーナー クリアリテーナー

リスク及び副作用 矯正治療では以下のリスクや副作用が考えられます。
  • 歯根吸収(歯の根が短くなる症状)
  • 歯肉退縮(歯茎が下がる症状)
  • ブラックトライアングル(歯間乳頭部歯肉の消失)
  • アンキローシス(歯と歯を支える骨が癒着し歯が動かなくなる)
  • 歯髄壊死(歯の神経が失活してしまう状態)
  • スペース残存(歯と歯の間にスペースが残存する)
  • 顎関節症(顎の痛み)
  • 金属アレルギー
BEFORE
AFTER

費 用

※すべて税込

  • 検査・診断料 27,500円
  • 装置料 759,000円
  • 調整料 5,500円/月(15回)
  • 抜歯 22,000円(1本11,000円)
  • 保定装置料 0円
症例26
上顎前突、叢生
抜歯
ブラケット矯正

症例解説

上下顎叢生(ガタガタ)と上顎前突のケースです。
装置はラビアル(上下表側)で、上下顎両側小臼歯を抜歯(計4本)を行っています。抜歯したスペースを利用し、上下の叢生の改善を行っています。また、上顎前歯の後方移動と下顎臼歯の前方移動によって上顎前突の改善を行っております。

主訴 上下の前歯のガタガタを治したい。
年齢・性別 25歳 女性
お住まいの地域 東京都目黒区
治療方針 抜歯スペースを利用して上下前歯の叢生と上顎前突の改善
抜歯部位 上顎両側第一小臼歯、下顎両側第二小臼歯
使用装置 ラビアル(上下表側)、顎間ゴム
治療期間 2年5か月
治療回数 16回
リテーナー クリアリテーナー

リスク及び副作用 矯正治療では以下のリスクや副作用が考えられます。
  • 歯根吸収(歯の根が短くなる症状)
  • 歯肉退縮(歯茎が下がる症状)
  • ブラックトライアングル(歯間乳頭部歯肉の消失)
  • アンキローシス(歯と歯を支える骨が癒着し歯が動かなくなる)
  • 歯髄壊死(歯の神経が失活してしまう状態)
  • スペース残存(歯と歯の間にスペースが残存する)
  • 顎関節症(顎の痛み)
  • 金属アレルギー
BEFORE
AFTER

費 用

※すべて税込

  • 検査・診断料 27,500円
  • 装置料 759,000円
  • 調整料 5,500円/月(16回)
  • 抜歯 44,000円(1本11,000円)
  • 保定装置料 0円
症例27
上顎前突、叢生
抜歯
ブラケット矯正

症例解説

上下顎叢生(ガタガタ)と上顎前突のケースです。
装置はラビアル(上下表側)で、上下顎両側小臼歯を抜歯(計4本)を行っています。抜歯したスペースを利用し、上下の叢生の改善を行っています。また、上顎前歯の後方移動と下顎臼歯の前方移動によって上顎前突の改善を行っております。顎間ゴムの使用が難しかったため、歯科用アンカースクリューにて前歯の移動を行いました。

主訴 前歯のガタガタが気になる
年齢・性別 31歳 女性
お住まいの地域 東京都大田区
治療方針 抜歯スペースを利用して上下前歯の叢生と上顎前突の改善
抜歯部位 上下顎両側第一小臼歯
使用装置 ラビアル(上下表側)、顎間ゴム、歯科用アンカースクリュー
治療期間 2年8か月
治療回数 26回
リテーナー クリアリテーナー

リスク及び副作用 矯正治療では以下のリスクや副作用が考えられます。
  • 歯根吸収(歯の根が短くなる症状)
  • 歯肉退縮(歯茎が下がる症状)
  • ブラックトライアングル(歯間乳頭部歯肉の消失)
  • アンキローシス(歯と歯を支える骨が癒着し歯が動かなくなる)
  • 歯髄壊死(歯の神経が失活してしまう状態)
  • スペース残存(歯と歯の間にスペースが残存する)
  • 顎関節症(顎の痛み)
  • 金属アレルギー
BEFORE
AFTER

費 用

※すべて税込

  • 検査・診断料 27,500円
  • 装置料 759,000円
  • 調整料 5,500円/月(26回)
  • 抜歯 44,000円(1本11,000円)
  • 保定装置料 0円
症例28
叢生、開咬
抜歯
ブラケット矯正

症例解説

上下顎叢生(ガタガタ)と前歯部開咬(上下前歯同士が当たってない)のケースです。
装置はラビアル(上下表側)で、上下顎両側小臼歯を抜歯(計4本)を行っています。抜歯したスペースを利用し、上下の叢生の改善と、後方移動により開咬の改善を行っています。

主訴 上下の前歯のガタガタを治したい。前歯で物が咬めない
年齢・性別 21歳 女性
お住まいの地域 東京都大田区
治療方針 抜歯スペースを利用して上下前歯の叢生と開咬の改善
抜歯部位 上顎両側第一小臼歯、下顎両側第二小臼歯
使用装置 ラビアル(上下表側)、顎間ゴム
治療期間 2年7か月
治療回数 28回
リテーナー クリアリテーナー

リスク及び副作用 矯正治療では以下のリスクや副作用が考えられます。
  • 歯根吸収(歯の根が短くなる症状)
  • 歯肉退縮(歯茎が下がる症状)
  • ブラックトライアングル(歯間乳頭部歯肉の消失)
  • アンキローシス(歯と歯を支える骨が癒着し歯が動かなくなる)
  • 歯髄壊死(歯の神経が失活してしまう状態)
  • スペース残存(歯と歯の間にスペースが残存する)
  • 顎関節症(顎の痛み)
  • 金属アレルギー
BEFORE
AFTER

費 用

※すべて税込

  • 検査・診断料 27,500円
  • 装置料 759,000円
  • 調整料 5,500円/月(26回)
  • 抜歯 44,000円(1本11,000円)
  • 保定装置料 0円
症例29
上下顎前突
抜歯
ブラケット矯正

症例解説

上下顎前突(両側出っ歯)のケースです。
装置はラビアル(上下表側)で、上下顎両側小臼歯を抜歯(計4本)を行っています。抜歯したスペースを利用し、上下の前歯の後方移動を行い前突の改善を行っています。また、口元が下がりすぎないように下顎の第二小臼歯を抜歯しました。

主訴 口元が出ているのを治したい。口を閉じやすくしたい。
年齢・性別 24歳 女性
お住まいの地域 東京都港区
治療方針 抜歯スペースを利用して上下前突の改善
抜歯部位 上顎両側第一小臼歯、下顎両側第二小臼歯
使用装置 ラビアル(上下表側)、顎間ゴム
治療期間 1年4か月
治療回数 12回
リテーナー クリアリテーナー

リスク及び副作用 矯正治療では以下のリスクや副作用が考えられます。
  • 歯根吸収(歯の根が短くなる症状)
  • 歯肉退縮(歯茎が下がる症状)
  • ブラックトライアングル(歯間乳頭部歯肉の消失)
  • アンキローシス(歯と歯を支える骨が癒着し歯が動かなくなる)
  • 歯髄壊死(歯の神経が失活してしまう状態)
  • スペース残存(歯と歯の間にスペースが残存する)
  • 顎関節症(顎の痛み)
  • 金属アレルギー
BEFORE
AFTER

費 用

※すべて税込

  • 検査・診断料 27,500円
  • 装置料 759,000円
  • 調整料 5,500円/月(12回)
  • 抜歯 44,000円(1本11,000円)
  • 保定装置料 0円
症例30
下顎前突、叢生
抜歯
ブラケット矯正

症例解説

上下顎叢生、反対咬合(上下の前歯のガタガタ、受け口)のケースです。
装置はラビアル(上下表側)で、上下顎の小臼歯を4本抜歯を行っています。抜歯したスペースを使って、上下の叢生改善と前歯の受け口の改善を行っています。

主訴 前歯が反対に咬んでいるのを治したい。
年齢・性別 23歳 男性
お住まいの地域 東京都港区
治療方針 抜歯スペースを利用して上前歯の叢生(ガタガタ)の改善と受け口の改善
抜歯部位 上下顎左右第一小臼歯
使用装置 ラビアル(上下表側)、顎間ゴム
治療期間 1年11か月
治療回数 17回
リテーナー クリアリテーナー

リスク及び副作用 矯正治療では以下のリスクや副作用が考えられます。
  • 歯根吸収(歯の根が短くなる症状)
  • 歯肉退縮(歯茎が下がる症状)
  • ブラックトライアングル(歯間乳頭部歯肉の消失)
  • アンキローシス(歯と歯を支える骨が癒着し歯が動かなくなる)
  • 歯髄壊死(歯の神経が失活してしまう状態)
  • スペース残存(歯と歯の間にスペースが残存する)
  • 顎関節症(顎の痛み)
  • 金属アレルギー
BEFORE
AFTER

費 用

※すべて税込

  • 検査・診断料 27,500円
  • 装置料 759,000円
  • 調整料 5,500円/月(17回)
  • 抜歯 44,000円(1本11,000円)
  • 保定装置料 0円
症例31
下顎前突、叢生
抜歯
ブラケット矯正

症例解説

上下顎叢生、反対咬合(上下の前歯のガタガタ、受け口)のケースです。
装置はラビアル(上下表側)で、上下顎の小臼歯を4本抜歯を行っています。抜歯したスペースを使って、上下の叢生改善と前歯の受け口の改善を行っています。

主訴 前歯が反対に咬んでいるのを治したい。
年齢・性別 18歳 男性
お住まいの地域 東京都品川区
治療方針 抜歯スペースを利用して上前歯の叢生(ガタガタ)の改善と受け口の改善
抜歯部位 上下顎左右第一小臼歯
使用装置 ラビアル(上下表側)、顎間ゴム
治療期間 2年3か月
治療回数 16回
リテーナー クリアリテーナー

リスク及び副作用 矯正治療では以下のリスクや副作用が考えられます。
  • 歯根吸収(歯の根が短くなる症状)
  • 歯肉退縮(歯茎が下がる症状)
  • ブラックトライアングル(歯間乳頭部歯肉の消失)
  • アンキローシス(歯と歯を支える骨が癒着し歯が動かなくなる)
  • 歯髄壊死(歯の神経が失活してしまう状態)
  • スペース残存(歯と歯の間にスペースが残存する)
  • 顎関節症(顎の痛み)
  • 金属アレルギー
BEFORE
AFTER

費 用

※すべて税込

  • 検査・診断料 27,500円
  • 装置料 759,000円
  • 調整料 5,500円/月(16回)
  • 抜歯 44,000円(1本11,000円)
  • 保定装置料 0円
症例32
上顎前突、叢生
抜歯
ブラケット矯正

症例解説

上下顎叢生、上顎前突(出っ歯、上下の前歯のガタガタ)のケースです。
装置はラビアル(上下表側)で、上顎の小臼歯を2本抜歯を行っています。抜歯したスペースを使って、上の前歯の後方移動と叢生(ガタガタ)と出っ歯の改善を行っています。下は歯と歯の間にIPR(隣接面削合)を行い、スペースを確保し、叢生の改善を行っています。

主訴 前歯のガタガタと出っ歯が気になる。
年齢・性別 47歳 女性
お住まいの地域 東京都港区
治療方針 抜歯スペースおよびIPRを利用して上前歯の叢生(ガタガタ)の改善
抜歯部位 上顎左右第一小臼歯
使用装置 ラビアル(上下表側)、顎間ゴム
治療期間 2年0か月
治療回数 15回
リテーナー クリアリテーナー

リスク及び副作用 矯正治療では以下のリスクや副作用が考えられます。
  • 歯根吸収(歯の根が短くなる症状)
  • 歯肉退縮(歯茎が下がる症状)
  • ブラックトライアングル(歯間乳頭部歯肉の消失)
  • アンキローシス(歯と歯を支える骨が癒着し歯が動かなくなる)
  • 歯髄壊死(歯の神経が失活してしまう状態)
  • スペース残存(歯と歯の間にスペースが残存する)
  • 顎関節症(顎の痛み)
  • 金属アレルギー
BEFORE
AFTER

費 用

※すべて税込

  • 検査・診断料 27,500円
  • 装置料 759,000円
  • 調整料 5,500円/月(15回)
  • 抜歯 22,000円(1本11,000円)
  • 保定装置料 0円
症例33
上下顎前突、叢生
抜歯
ブラケット矯正

症例解説

上下顎前突、叢生(上下出っ歯、上下の前歯のガタガタ)のケースです。
装置はラビアル(上下表側)で、上下顎の小臼歯を4本抜歯を行っています。抜歯したスペースを使って、上下の前歯の後方移動と叢生(ガタガタ)の改善を行っています。

主訴 前歯のガタガタと出っ歯が気になる。
年齢・性別 30歳 女性
お住まいの地域 東京都品川区
治療方針 抜歯スペースを利用して上前歯の叢生(ガタガタ)と口元突出の改善
抜歯部位 上下顎左右第一小臼歯
使用装置 ラビアル(上下表側)、顎間ゴム
治療期間 1年11か月
治療回数 13回
リテーナー クリアリテーナー

リスク及び副作用 矯正治療では以下のリスクや副作用が考えられます。
  • 歯根吸収(歯の根が短くなる症状)
  • 歯肉退縮(歯茎が下がる症状)
  • ブラックトライアングル(歯間乳頭部歯肉の消失)
  • アンキローシス(歯と歯を支える骨が癒着し歯が動かなくなる)
  • 歯髄壊死(歯の神経が失活してしまう状態)
  • スペース残存(歯と歯の間にスペースが残存する)
  • 顎関節症(顎の痛み)
  • 金属アレルギー
BEFORE
AFTER

費 用

※すべて税込

  • 検査・診断料 27,500円
  • 装置料 759,000円
  • 調整料 5,500円/月(13回)
  • 抜歯 44,000円(1本11,000円)
  • 保定装置料 0円
症例34
叢生
抜歯
ブラケット矯正

症例解説

上下顎叢生(上下の前歯のガタガタ)のケースです。
装置はラビアル(上下表側)で、上下顎の小臼歯を4本抜歯を行っています。抜歯したスペースを使って、上下の前歯の後方移動と叢生(ガタガタ)の改善を行っています。

主訴 八重歯を治したい。
年齢・性別 25歳 女性
お住まいの地域 東京都大田区
治療方針 抜歯スペースを利用して上前歯の叢生(ガタガタ)の改善
抜歯部位 上下顎左右第一小臼歯
使用装置 ラビアル(上下表側)、顎間ゴム
治療期間 1年11か月
治療回数 16回
リテーナー クリアリテーナー

リスク及び副作用 矯正治療では以下のリスクや副作用が考えられます。
  • 歯根吸収(歯の根が短くなる症状)
  • 歯肉退縮(歯茎が下がる症状)
  • ブラックトライアングル(歯間乳頭部歯肉の消失)
  • アンキローシス(歯と歯を支える骨が癒着し歯が動かなくなる)
  • 歯髄壊死(歯の神経が失活してしまう状態)
  • スペース残存(歯と歯の間にスペースが残存する)
  • 顎関節症(顎の痛み)
  • 金属アレルギー
BEFORE
AFTER

費 用

※すべて税込

  • 検査・診断料 27,500円
  • 装置料 869,000円
  • 調整料 5,500円/月(16回)
  • 抜歯 44,000円(1本11,000円)
  • 保定装置料 0円
症例35
下顎前突、叢生
抜歯
ブラケット矯正

症例解説

上下顎叢生、反対咬合(上下の前歯のガタガタ、若干受け口)のケースです。
装置はラビアル(上下表側)で、上下顎の小臼歯を4本抜歯を行っています。抜歯したスペースを使って、上下の叢生改善と前歯の受け口の改善を行っています。

主訴 前歯のガタガタを治したい。
年齢・性別 45歳 女性
お住まいの地域 東京都目黒区
治療方針 抜歯スペースを利用して上前歯の叢生(ガタガタ)の改善と受け口の改善
抜歯部位 上顎左右第一小臼歯、下顎左右第二小臼歯
使用装置 ラビアル(上下表側)、顎間ゴム
治療期間 2年6か月
治療回数 20回
リテーナー クリアリテーナー

リスク及び副作用 矯正治療では以下のリスクや副作用が考えられます。
  • 歯根吸収(歯の根が短くなる症状)
  • 歯肉退縮(歯茎が下がる症状)
  • ブラックトライアングル(歯間乳頭部歯肉の消失)
  • アンキローシス(歯と歯を支える骨が癒着し歯が動かなくなる)
  • 歯髄壊死(歯の神経が失活してしまう状態)
  • スペース残存(歯と歯の間にスペースが残存する)
  • 顎関節症(顎の痛み)
  • 金属アレルギー
BEFORE
AFTER

費 用

※すべて税込

  • 検査・診断料 27,500円
  • 装置料 759,000円
  • 調整料 5,500円/月(20回)
  • 抜歯 44,000円(1本11,000円)
  • 保定装置料 0円
症例36
開咬
抜歯
ブラケット矯正

症例解説

前歯部開咬(上下の前歯が咬んでいない)のケースです。
装置はラビアル(上下表側)で、上下顎の小臼歯を4本抜歯で治療を行いました。抜歯スペースを利用して上下前歯の後方移動を行い、顎間ゴムを使って上下前歯の開咬の改善を行っています。

主訴 前歯が咬んでないので食事がしづらい。
年齢・性別 23歳 女性
お住まいの地域 東京都大田区
治療方針 抜歯スペースを利用して上前歯の叢生(ガタガタ)および開咬の改善
抜歯部位 上下顎左右第一小臼歯
使用装置 ラビアル(上下表側)、顎間ゴム
治療期間 1年11か月
治療回数 14回
リテーナー クリアリテーナー

リスク及び副作用 矯正治療では以下のリスクや副作用が考えられます。
  • 歯根吸収(歯の根が短くなる症状)
  • 歯肉退縮(歯茎が下がる症状)
  • ブラックトライアングル(歯間乳頭部歯肉の消失)
  • アンキローシス(歯と歯を支える骨が癒着し歯が動かなくなる)
  • 歯髄壊死(歯の神経が失活してしまう状態)
  • スペース残存(歯と歯の間にスペースが残存する)
  • 顎関節症(顎の痛み)
  • 金属アレルギー
BEFORE
AFTER

費 用

※すべて税込

  • 検査・診断料 27,500円
  • 装置料 869,000円
  • 調整料 5,500円/月(14回)
  • 抜歯 44,000円(1本11,000円)
  • 保定装置料 0円
症例37
叢生
抜歯
ブラケット矯正

症例解説

上下顎前歯部叢生(上下の前歯のガタガタ)のケースです。
装置はラビアル(上下表側)で、上顎の小臼歯を2本抜歯で治療を行いました。抜歯スペースを利用して上前歯の叢生を行い、下顎はIPR(歯間隣接面削合)を行ってスペースを作り、叢生を改善しています。

主訴 八重歯が気になる。
年齢・性別 31歳 女性
お住まいの地域 東京都大田区
治療方針 抜歯スペースを利用して上前歯の叢生(ガタガタ)の改善、IPRを行って下前歯の叢生改善
抜歯部位 上顎左右第一小臼歯
使用装置 ラビアル(上下表側)、顎間ゴム
治療期間 2年6か月
治療回数 19回
リテーナー クリアリテーナー

リスク及び副作用 矯正治療では以下のリスクや副作用が考えられます。
  • 歯根吸収(歯の根が短くなる症状)
  • 歯肉退縮(歯茎が下がる症状)
  • ブラックトライアングル(歯間乳頭部歯肉の消失)
  • アンキローシス(歯と歯を支える骨が癒着し歯が動かなくなる)
  • 歯髄壊死(歯の神経が失活してしまう状態)
  • スペース残存(歯と歯の間にスペースが残存する)
  • 顎関節症(顎の痛み)
  • 金属アレルギー
BEFORE
AFTER

費 用

※すべて税込

  • 検査・診断料 27,500円
  • 装置料 759,000円
  • 調整料 5,500円/月(19回)
  • 抜歯 22,000円(1本11,000円)
  • 保定装置料 0円
症例38
叢生
抜歯
ブラケット矯正

症例解説

上下顎叢生(上下の前歯のガタガタ)のケースです。
装置はラビアル(上下表側)で、上下顎の小臼歯を4本抜歯を行っています。抜歯したスペースを使って、上下の前歯の後方移動と叢生(ガタガタ)の改善を行っています。

主訴 下前歯のガタガタと左上2番目の歯並びを治したい。
年齢・性別 25歳 男性
お住まいの地域 東京都品川区
治療方針 抜歯スペースを利用して上下前歯の叢生(ガタガタ)の改善
抜歯部位 上下顎左右第一小臼歯
使用装置 ラビアル(上下表側)、顎間ゴム
治療期間 1年10か月
治療回数 14回
リテーナー クリアリテーナー

リスク及び副作用 矯正治療では以下のリスクや副作用が考えられます。
  • 歯根吸収(歯の根が短くなる症状)
  • 歯肉退縮(歯茎が下がる症状)
  • ブラックトライアングル(歯間乳頭部歯肉の消失)
  • アンキローシス(歯と歯を支える骨が癒着し歯が動かなくなる)
  • 歯髄壊死(歯の神経が失活してしまう状態)
  • スペース残存(歯と歯の間にスペースが残存する)
  • 顎関節症(顎の痛み)
  • 金属アレルギー
BEFORE
AFTER

費 用

※すべて税込

  • 検査・診断料 27,500円
  • 装置料 869,000円
  • 調整料 5,500円/月(14回)
  • 抜歯 44,000円(1本11,000円)
  • 保定装置料 0円
症例39
叢生
抜歯
ブラケット矯正

症例解説

上下顎叢生(上下の前歯のガタガタ)のケースです。
装置はラビアル(上下表側)で、上下顎の小臼歯を4本抜歯を行っています。抜歯したスペースを使って、上下の前歯の後方移動と叢生(ガタガタ)の改善を行っています。

主訴 歯並びが悪く、舌を噛んでしまうのを治したい。
年齢・性別 27歳 男性
お住まいの地域 東京都大田区
治療方針 抜歯スペースを利用して上下前歯の叢生(ガタガタ)の改善
抜歯部位 上下顎左右第一小臼歯
使用装置 ラビアル(上下表側)、顎間ゴム
治療期間 3年1か月
治療回数 30回
リテーナー クリアリテーナー

リスク及び副作用 矯正治療では以下のリスクや副作用が考えられます。
  • 歯根吸収(歯の根が短くなる症状)
  • 歯肉退縮(歯茎が下がる症状)
  • ブラックトライアングル(歯間乳頭部歯肉の消失)
  • アンキローシス(歯と歯を支える骨が癒着し歯が動かなくなる)
  • 歯髄壊死(歯の神経が失活してしまう状態)
  • スペース残存(歯と歯の間にスペースが残存する)
  • 顎関節症(顎の痛み)
  • 金属アレルギー
BEFORE
AFTER

費 用

※すべて税込

  • 検査・診断料 27,500円
  • 装置料 759,000円
  • 調整料 5,500円/月(30回)
  • 抜歯 44,000円(1本11,000円)
  • 保定装置料 0円
症例40
叢生
抜歯
ブラケット矯正

症例解説

上下顎叢生(上下の前歯のガタガタ)のケースです。
装置はラビアル(上下表側)で、右上以外の小臼歯を3本、右上は犬歯の抜歯を行っています。抜歯したスペースを使って、上下の前歯の後方移動と叢生(ガタガタ)の改善を行っています。

主訴 八重歯を治したい。
年齢・性別 27歳 女性
お住まいの地域 東京都品川区
治療方針 抜歯スペースを利用して上下前歯の叢生(ガタガタ)の改善
抜歯部位 上顎右側犬歯、上顎左側第一小臼歯、下顎両側第一小臼歯
使用装置 ラビアル(上下表側)、顎間ゴム
治療期間 3年3か月
治療回数 25回
リテーナー クリアリテーナー

リスク及び副作用 矯正治療では以下のリスクや副作用が考えられます。
  • 歯根吸収(歯の根が短くなる症状)
  • 歯肉退縮(歯茎が下がる症状)
  • ブラックトライアングル(歯間乳頭部歯肉の消失)
  • アンキローシス(歯と歯を支える骨が癒着し歯が動かなくなる)
  • 歯髄壊死(歯の神経が失活してしまう状態)
  • スペース残存(歯と歯の間にスペースが残存する)
  • 顎関節症(顎の痛み)
  • 金属アレルギー
BEFORE
AFTER

費 用

※すべて税込

  • 検査・診断料 27,500円
  • 装置料 759,000円
  • 調整料 5,500円/月(25回)
  • 抜歯 44,000円(1本11,000円)
  • 保定装置料 0円
症例41
叢生
抜歯
ブラケット矯正

症例解説

上下顎叢生(上下の前歯のガタガタ)のケースです。
装置はラビアル(上下表側)で、上下顎の小臼歯を4本抜歯を行っています。抜歯したスペースを利用し、上下の前歯の後方移動と叢生(ガタガタ)の改善を行っています。口元の出っ張りを改善するため、歯科用アンカースクリューを使用して前歯の後方移動を行いました。

主訴 上下の前歯のガタガタを治したい。 口元を引っ込ませたい。
年齢・性別 22歳 女性
お住まいの地域 東京都大田区
治療方針 抜歯スペースを利用して上下前歯の叢生(ガタガタ)の改善
抜歯部位 上下顎左右第一小臼歯
使用装置 ラビアル(上下表側)、顎間ゴム、歯科用アンカースクリュー
治療期間 2年1か月
治療回数 25回
リテーナー クリアリテーナー

リスク及び副作用 矯正治療では以下のリスクや副作用が考えられます。
  • 歯根吸収(歯の根が短くなる症状)
  • 歯肉退縮(歯茎が下がる症状)
  • ブラックトライアングル(歯間乳頭部歯肉の消失)
  • アンキローシス(歯と歯を支える骨が癒着し歯が動かなくなる)
  • 歯髄壊死(歯の神経が失活してしまう状態)
  • スペース残存(歯と歯の間にスペースが残存する)
  • 顎関節症(顎の痛み)
  • 金属アレルギー
BEFORE
AFTER

費 用

※すべて税込

  • 検査・診断料 27,500円
  • 装置料 759,000円
  • 調整料 5,500円/月(25回)
  • 抜歯 44,000円(1本11,000円)
  • 保定装置料 0円
症例42
叢生
抜歯
ブラケット矯正

症例解説

上下顎叢生(上下の前歯のガタガタ)のケースです。
装置はラビアル(上下表側)で、上下顎の小臼歯を4本抜歯を行っています。抜歯したスペースを利用し、上下の前歯の後方移動と叢生(ガタガタ)の改善を行っています。歯科用アンカースクリューを使用することで、可能な限り前歯を後方移動させています。

主訴 上下の前歯のガタガタで歯が磨きづらい。
年齢・性別 16歳 男性
お住まいの地域 東京都大田区
治療方針 抜歯スペースを利用して上下前歯の叢生(ガタガタ)の改善
抜歯部位 上下顎左右第一小臼歯
使用装置 ラビアル(上下表側)、顎間ゴム、歯科用アンカースクリュー
治療期間 2年3か月
治療回数 24回
リテーナー クリアリテーナー

リスク及び副作用 矯正治療では以下のリスクや副作用が考えられます。
  • 歯根吸収(歯の根が短くなる症状)
  • 歯肉退縮(歯茎が下がる症状)
  • ブラックトライアングル(歯間乳頭部歯肉の消失)
  • アンキローシス(歯と歯を支える骨が癒着し歯が動かなくなる)
  • 歯髄壊死(歯の神経が失活してしまう状態)
  • スペース残存(歯と歯の間にスペースが残存する)
  • 顎関節症(顎の痛み)
  • 金属アレルギー
BEFORE
AFTER

費 用

※すべて税込

  • 検査・診断料 27,500円
  • 装置料 759,000円
  • 調整料 5,500円/月(24回)
  • 抜歯 44,000円(1本11,000円)
  • 保定装置料 0円
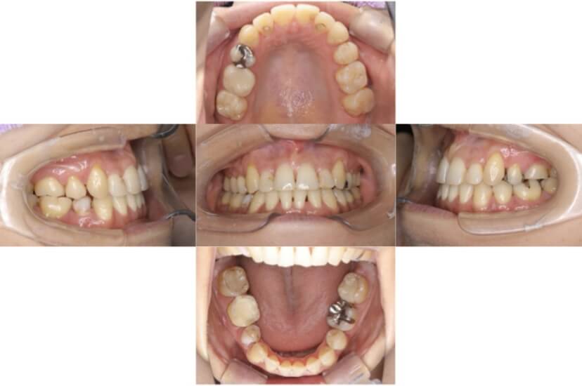
症例43
上顎前突、叢生
抜歯
ブラケット矯正

症例解説

上下顎叢生(上下の前歯のガタガタ)および上顎前突のケースです。
装置はラビアル(上下表側)で、左上C(乳歯)と右上および下顎両側の小臼歯を抜歯(計4本)を行っています。抜歯したスペースを利用し、上下の前歯の後方移動と叢生(ガタガタ)の改善を行っています。また、上顎前突改善のため歯科用アンカースクリューを使用し、上顎歯列全体の後方移動をおこないました。

主訴 上下の前歯のガタガタと出っ歯を治したい。
年齢・性別 16歳 男性
お住まいの地域 東京都大田区
治療方針 抜歯スペースを利用して上下前歯の叢生(ガタガタ)の改善、上顎歯列の遠心移動
抜歯部位 上顎右側第一小臼歯、上顎左側乳犬歯、下顎両側第一小臼歯
使用装置 ラビアル(上下表側)、顎間ゴム、歯科用アンカースクリュー
治療期間 2年8か月
治療回数 21回
リテーナー クリアリテーナー

リスク及び副作用 矯正治療では以下のリスクや副作用が考えられます。
  • 歯根吸収(歯の根が短くなる症状)
  • 歯肉退縮(歯茎が下がる症状)
  • ブラックトライアングル(歯間乳頭部歯肉の消失)
  • アンキローシス(歯と歯を支える骨が癒着し歯が動かなくなる)
  • 歯髄壊死(歯の神経が失活してしまう状態)
  • スペース残存(歯と歯の間にスペースが残存する)
  • 顎関節症(顎の痛み)
  • 金属アレルギー
BEFORE
AFTER

費 用

※すべて税込

  • 検査・診断料 27,500円
  • 装置料 759,000円
  • 調整料 5,500円/月(21回)
  • 抜歯 44,000円(1本11,000円)
  • 保定装置料 0円
症例44
叢生、開咬
抜歯
ブラケット矯正

症例解説

上下顎叢生(上下の前歯のガタガタ)および開咬のケースです。
装置はラビアル(上下表側)で、上下顎両側小臼歯を抜歯(計4本)を行っています。抜歯したスペースを利用し、上下の前歯の後方移動と叢生(ガタガタ)の改善を行っています。また、開咬改善のため顎間ゴムを使用しました。

主訴 上下の前歯のガタガタと咬み合わせを治したい。
年齢・性別 43歳 女性
お住まいの地域 東京都品川区
治療方針 抜歯スペースを利用して上下前歯の叢生(ガタガタ)の改善、顎間ゴムで開咬の改善
抜歯部位 上下顎両側第一小臼歯
使用装置 ラビアル(上下表側)、顎間ゴム
治療期間 2年5か月
治療回数 25回
リテーナー クリアリテーナー

リスク及び副作用 矯正治療では以下のリスクや副作用が考えられます。
  • 歯根吸収(歯の根が短くなる症状)
  • 歯肉退縮(歯茎が下がる症状)
  • ブラックトライアングル(歯間乳頭部歯肉の消失)
  • アンキローシス(歯と歯を支える骨が癒着し歯が動かなくなる)
  • 歯髄壊死(歯の神経が失活してしまう状態)
  • スペース残存(歯と歯の間にスペースが残存する)
  • 顎関節症(顎の痛み)
  • 金属アレルギー
BEFORE
AFTER

費 用

※すべて税込

  • 検査・診断料 27,500円
  • 装置料 759,000円
  • 調整料 5,500円/月(25回)
  • 抜歯 44,000円(1本11,000円)
  • 保定装置料 0円
症例45
上下顎前突
抜歯
ブラケット矯正

症例解説

上下顎前突(両側出っ歯)のケースです。
装置はラビアル(上下表側)で、上下顎両側小臼歯を抜歯(計4本)を行っています。抜歯したスペースを利用し、上下の前歯の後方移動を行っています。

主訴 上下の前歯を引っ込めて口を閉じやすくしたい。
年齢・性別 30歳 女性
お住まいの地域 東京都世田谷区
治療方針 抜歯スペースを利用して上下前歯の後方移動を行い口元突出の改善
抜歯部位 上下顎両側第一小臼歯
使用装置 ラビアル(上下表側)、顎間ゴム
治療期間 1年5か月
治療回数 11回
リテーナー クリアリテーナー

リスク及び副作用 矯正治療では以下のリスクや副作用が考えられます。
  • 歯根吸収(歯の根が短くなる症状)
  • 歯肉退縮(歯茎が下がる症状)
  • ブラックトライアングル(歯間乳頭部歯肉の消失)
  • アンキローシス(歯と歯を支える骨が癒着し歯が動かなくなる)
  • 歯髄壊死(歯の神経が失活してしまう状態)
  • スペース残存(歯と歯の間にスペースが残存する)
  • 顎関節症(顎の痛み)
  • 金属アレルギー
BEFORE
AFTER

費 用

※すべて税込

  • 検査・診断料 27,500円
  • 装置料 759,000円
  • 調整料 5,500円/月(11回)
  • 抜歯 44,000円(1本11,000円)
  • 保定装置料 0円
症例46
叢生
抜歯
ブラケット矯正

症例解説

上下顎叢生(ガタガタ)のケースです。
装置はラビアル(上下表側)で、上下顎両側小臼歯を抜歯(計4本)を行っています。抜歯したスペースを利用し、上下の叢生の改善を行っています。

主訴 上下の前歯のガタガタを治したい。
年齢・性別 25歳 女性
お住まいの地域 東京都大田区
治療方針 抜歯スペースを利用して上下前歯の叢生の改善
抜歯部位 上下顎両側第一小臼歯
使用装置 ラビアル(上下表側)、顎間ゴム
治療期間 1年10か月
治療回数 17回
リテーナー クリアリテーナー

リスク及び副作用 矯正治療では以下のリスクや副作用が考えられます。
  • 歯根吸収(歯の根が短くなる症状)
  • 歯肉退縮(歯茎が下がる症状)
  • ブラックトライアングル(歯間乳頭部歯肉の消失)
  • アンキローシス(歯と歯を支える骨が癒着し歯が動かなくなる)
  • 歯髄壊死(歯の神経が失活してしまう状態)
  • スペース残存(歯と歯の間にスペースが残存する)
  • 顎関節症(顎の痛み)
  • 金属アレルギー
BEFORE
AFTER

費 用

※すべて税込

  • 検査・診断料 27,500円
  • 装置料 759,000円
  • 調整料 5,500円/月(17回)
  • 抜歯 44,000円(1本11,000円)
  • 保定装置料 0円
症例47
上下顎前突
抜歯
ブラケット矯正

症例解説

上下顎前突(両側出っ歯)のケースです。
装置はラビアル(上下表側)で、上下顎両側小臼歯を抜歯(計4本)を行っています。抜歯したスペースを利用し、上下の前歯の後方移動を行い前突の改善を行っています。

主訴 上下の前歯のガタガタを治したい。
年齢・性別 28歳 女性
お住まいの地域 神奈川県横浜市
治療方針 抜歯スペースを利用して上下の出っ歯の改善
抜歯部位 上下顎両側第一小臼歯
使用装置 ラビアル(上下表側)、顎間ゴム
治療期間 1年10か月
治療回数 13回
リテーナー クリアリテーナー

リスク及び副作用 矯正治療では以下のリスクや副作用が考えられます。
  • 歯根吸収(歯の根が短くなる症状)
  • 歯肉退縮(歯茎が下がる症状)
  • ブラックトライアングル(歯間乳頭部歯肉の消失)
  • アンキローシス(歯と歯を支える骨が癒着し歯が動かなくなる)
  • 歯髄壊死(歯の神経が失活してしまう状態)
  • スペース残存(歯と歯の間にスペースが残存する)
  • 顎関節症(顎の痛み)
  • 金属アレルギー
BEFORE
AFTER

費 用

※すべて税込

  • 検査・診断料 27,500円
  • 装置料 759,000円
  • 調整料 5,500円/月(13回)
  • 抜歯 44,000円(1本11,000円)
  • 保定装置料 0円
症例48
上顎前突、叢生
抜歯
ブラケット矯正

症例解説

上下顎叢生、上顎前突(出っ歯、上下の前歯のガタガタ)のケースです。
装置はラビアル(上下表側)で、上顎の小臼歯を2本抜歯、下顎は前歯を1本抜歯しています。抜歯スペースを使って、上の前歯の後方移動と叢生(ガタガタ)と出っ歯の改善を行っています。下1本抜歯した前歯のスペースを使って叢生の改善を行っています。

主訴 前歯のガタガタと出っ歯が気になる。
年齢・性別 23歳 男性
お住まいの地域 東京都大田区
治療方針 抜歯スペースを利用して上下前歯の叢生(ガタガタ)の改善、上顎前突の改善
抜歯部位 上顎左右第一小臼歯、下顎左側中切歯
使用装置 ラビアル(上下表側)、顎間ゴム
治療期間 1年11か月
治療回数 13回
リテーナー クリアリテーナー

リスク及び副作用 矯正治療では以下のリスクや副作用が考えられます。
  • 歯根吸収(歯の根が短くなる症状)
  • 歯肉退縮(歯茎が下がる症状)
  • ブラックトライアングル(歯間乳頭部歯肉の消失)
  • アンキローシス(歯と歯を支える骨が癒着し歯が動かなくなる)
  • 歯髄壊死(歯の神経が失活してしまう状態)
  • スペース残存(歯と歯の間にスペースが残存する)
  • 顎関節症(顎の痛み)
  • 金属アレルギー
BEFORE
AFTER

費 用

※すべて税込

  • 検査・診断料 27,500円
  • 装置料 759,000円
  • 調整料 5,500円/月(13回)
  • 抜歯 33,000円(1本11,000円)
  • 保定装置料 0円
症例49
側方偏位、過蓋咬合
抜歯
ブラケット矯正

症例解説

過蓋咬合および下顎非対称のケースです。
装置はラビアル(上下表側)です。下顎が右に偏位していたので上顎右側の小臼歯を1本抜歯、下顎は抜歯しておりません。抜歯スペースを使って、右側の臼歯の咬合を作りました。また、ワイヤーにて前歯の圧下を行い、過蓋咬合の改善をおこないました。

主訴 咬み合わせが深いのが気になる。
年齢・性別 25歳 女性
お住まいの地域 東京都目黒区
治療方針 ワイヤーにより過蓋咬合の改善、上顎右側の小臼歯抜歯により臼歯関係の改善
抜歯部位 上顎右第一小臼歯
使用装置 ラビアル(上下表側)、顎間ゴム
治療期間 1年6か月
治療回数 14回
リテーナー クリアリテーナー

リスク及び副作用 矯正治療では以下のリスクや副作用が考えられます。
  • 歯根吸収(歯の根が短くなる症状)
  • 歯肉退縮(歯茎が下がる症状)
  • ブラックトライアングル(歯間乳頭部歯肉の消失)
  • アンキローシス(歯と歯を支える骨が癒着し歯が動かなくなる)
  • 歯髄壊死(歯の神経が失活してしまう状態)
  • スペース残存(歯と歯の間にスペースが残存する)
  • 顎関節症(顎の痛み)
  • 金属アレルギー
BEFORE
AFTER

費 用

※すべて税込

  • 検査・診断料 27,500円
  • 装置料 759,000円
  • 調整料 5,500円/月(14回)
  • 抜歯 11,000円(1本11,000円)
  • 保定装置料 0円
症例50
叢生
抜歯
ブラケット矯正

症例解説

上下顎叢生(ガタガタ)のケースです。
装置はラビアル(上下表側)で、上下顎両側小臼歯を抜歯(計4本)を行っています。抜歯したスペースを利用し、上下の叢生の改善を行っています。

主訴 上下の前歯のガタガタを治したい。
年齢・性別 29歳 女性
お住まいの地域 東京都港区
治療方針 抜歯スペースを利用して上下前歯の叢生の改善
抜歯部位 上下顎両側第一小臼歯
使用装置 ラビアル(上下表側)、顎間ゴム
治療期間 1年8か月
治療回数 17回
リテーナー クリアリテーナー

リスク及び副作用 矯正治療では以下のリスクや副作用が考えられます。
  • 歯根吸収(歯の根が短くなる症状)
  • 歯肉退縮(歯茎が下がる症状)
  • ブラックトライアングル(歯間乳頭部歯肉の消失)
  • アンキローシス(歯と歯を支える骨が癒着し歯が動かなくなる)
  • 歯髄壊死(歯の神経が失活してしまう状態)
  • スペース残存(歯と歯の間にスペースが残存する)
  • 顎関節症(顎の痛み)
  • 金属アレルギー
BEFORE
AFTER

費 用

※すべて税込

  • 検査・診断料 27,500円
  • 装置料 759,000円
  • 調整料 5,500円/月(17回)
  • 抜歯 44,000円(1本11,000円)
  • 保定装置料 0円
症例51
上下顎前突
抜歯
ブラケット矯正

症例解説

上下顎前突(両側出っ歯)のケースです。
装置はラビアル(上下表側)で、上下顎両側小臼歯を抜歯(計4本)を行っています。抜歯したスペースを利用し、上下の前歯の後方移動を行い前突の改善を行っています。また、口元が下がりすぎないように下顎の第二小臼歯を抜歯しました。

主訴 上下の前歯の出っ歯を治したい。
年齢・性別 30歳 女性
お住まいの地域 東京都大田区
治療方針 抜歯スペースを利用して上下の出っ歯の改善
抜歯部位 上顎両側第一小臼歯、下顎両側第二小臼歯
使用装置 ラビアル(上下表側)、顎間ゴム
治療期間 2年6か月
治療回数 19回
リテーナー クリアリテーナー

リスク及び副作用 矯正治療では以下のリスクや副作用が考えられます。
  • 歯根吸収(歯の根が短くなる症状)
  • 歯肉退縮(歯茎が下がる症状)
  • ブラックトライアングル(歯間乳頭部歯肉の消失)
  • アンキローシス(歯と歯を支える骨が癒着し歯が動かなくなる)
  • 歯髄壊死(歯の神経が失活してしまう状態)
  • スペース残存(歯と歯の間にスペースが残存する)
  • 顎関節症(顎の痛み)
  • 金属アレルギー
BEFORE
AFTER

費 用

※すべて税込

  • 検査・診断料 27,500円
  • 装置料 859,000円
  • 調整料 5,500円/月(19回)
  • 抜歯 44,000円(1本11,000円)
  • 保定装置料 0円
症例52
上顎前突、叢生
抜歯
ブラケット矯正

症例解説

上顎叢生、上顎前突(出っ歯、上下の前歯のガタガタ)のケースです。
装置はラビアル(上下表側)で、上顎の小臼歯を2本抜歯を行っています。抜歯したスペースを使って、上の前歯の後方移動と叢生(ガタガタ)と出っ歯の改善を行っています。

主訴 前歯のガタガタと出っ歯が気になる。
年齢・性別 19歳 女性
お住まいの地域 神奈川県川崎市
治療方針 抜歯スペースを利用して上前歯の叢生(ガタガタ)と上顎前突の改善
抜歯部位 上顎左右第一小臼歯
使用装置 ラビアル(上下表側)、顎間ゴム
治療期間 2年0か月
治療回数 12回
リテーナー クリアリテーナー

リスク及び副作用 矯正治療では以下のリスクや副作用が考えられます。
  • 歯根吸収(歯の根が短くなる症状)
  • 歯肉退縮(歯茎が下がる症状)
  • ブラックトライアングル(歯間乳頭部歯肉の消失)
  • アンキローシス(歯と歯を支える骨が癒着し歯が動かなくなる)
  • 歯髄壊死(歯の神経が失活してしまう状態)
  • スペース残存(歯と歯の間にスペースが残存する)
  • 顎関節症(顎の痛み)
  • 金属アレルギー
BEFORE
AFTER

費 用

※すべて税込

  • 検査・診断料 27,500円
  • 装置料 759,000円
  • 調整料 5,500円/月(12回)
  • 抜歯 22,000円(1本11,000円)
  • 保定装置料 0円
症例53
叢生
抜歯
ブラケット矯正

症例解説

上下顎叢生(ガタガタ)のケースです。
装置はラビアル(上下表側)で、上下顎両側小臼歯を抜歯(計4本)を行っています。抜歯したスペースを利用し、上下の叢生の改善を行っています。

主訴 上下の前歯のガタガタを治したい。下の奥歯が埋まっていて磨きづらい
年齢・性別 43歳 女性
お住まいの地域 東京都大田区
治療方針 抜歯スペースを利用して上下前歯の叢生の改善
抜歯部位 上顎両側第一小臼歯、下顎両側第二小臼歯
使用装置 ラビアル(上下表側)、顎間ゴム
治療期間 2年2か月
治療回数 17回
リテーナー クリアリテーナー

リスク及び副作用 矯正治療では以下のリスクや副作用が考えられます。
  • 歯根吸収(歯の根が短くなる症状)
  • 歯肉退縮(歯茎が下がる症状)
  • ブラックトライアングル(歯間乳頭部歯肉の消失)
  • アンキローシス(歯と歯を支える骨が癒着し歯が動かなくなる)
  • 歯髄壊死(歯の神経が失活してしまう状態)
  • スペース残存(歯と歯の間にスペースが残存する)
  • 顎関節症(顎の痛み)
  • 金属アレルギー
BEFORE
AFTER

費 用

※すべて税込

  • 検査・診断料 27,500円
  • 装置料 759,000円
  • 調整料 5,500円/月(17回)
  • 抜歯 44,000円(1本11,000円)
  • 保定装置料 0円
症例54
叢生
抜歯
ブラケット矯正

症例解説

上下顎叢生(ガタガタ)のケースです。
装置はラビアル(上下表側)で、上下顎両側小臼歯を抜歯(計4本)を行っています。抜歯したスペースを利用し、上下の叢生の改善を行っています。

主訴 上下の前歯のガタガタを治したい。
年齢・性別 38歳 女性
お住まいの地域 神奈川県川崎市
治療方針 抜歯スペースを利用して上下前歯の叢生の改善
抜歯部位 上下顎両側第一小臼歯
使用装置 ラビアル(上下表側)、顎間ゴム
治療期間 1年11か月
治療回数 21回
リテーナー クリアリテーナー

リスク及び副作用 矯正治療では以下のリスクや副作用が考えられます。
  • 歯根吸収(歯の根が短くなる症状)
  • 歯肉退縮(歯茎が下がる症状)
  • ブラックトライアングル(歯間乳頭部歯肉の消失)
  • アンキローシス(歯と歯を支える骨が癒着し歯が動かなくなる)
  • 歯髄壊死(歯の神経が失活してしまう状態)
  • スペース残存(歯と歯の間にスペースが残存する)
  • 顎関節症(顎の痛み)
  • 金属アレルギー
BEFORE
AFTER

費 用

※すべて税込

  • 検査・診断料 27,500円
  • 装置料 759,000円
  • 調整料 5,500円/月(21回)
  • 抜歯 44,000円(1本11,000円)
  • 保定装置料 0円
症例55
上下顎前突
抜歯
ブラケット矯正

症例解説

上下顎前突(両側出っ歯)のケースです。
装置はラビアル(上下表側)で、上下顎両側小臼歯を抜歯(計4本)を行っています。抜歯したスペースを利用し、上下の前歯の後方移動を行い前突の改善を行っています。また、口元が下がりすぎないように下顎の第二小臼歯を抜歯しました。

主訴 口元が出ているのを治したい。
年齢・性別 24歳 女性
お住まいの地域 東京都世田谷区
治療方針 抜歯スペースを利用して上下前突の改善
抜歯部位 上顎両側第一小臼歯、下顎両側第二小臼歯
使用装置 ラビアル(上下表側)、顎間ゴム
治療期間 1年4か月
治療回数 11回
リテーナー クリアリテーナー

リスク及び副作用 矯正治療では以下のリスクや副作用が考えられます。
  • 歯根吸収(歯の根が短くなる症状)
  • 歯肉退縮(歯茎が下がる症状)
  • ブラックトライアングル(歯間乳頭部歯肉の消失)
  • アンキローシス(歯と歯を支える骨が癒着し歯が動かなくなる)
  • 歯髄壊死(歯の神経が失活してしまう状態)
  • スペース残存(歯と歯の間にスペースが残存する)
  • 顎関節症(顎の痛み)
  • 金属アレルギー
BEFORE
AFTER

費 用

※すべて税込

  • 検査・診断料 27,500円
  • 装置料 869,000円
  • 調整料 5,500円/月(11回)
  • 抜歯 44,000円(1本11,000円)
  • 保定装置料 0円
症例56
上顎前突
抜歯
ブラケット矯正

症例解説

上顎前突(出っ歯)のケースです。
装置はラビアル(上下表側)で、上顎の小臼歯を2本抜歯を行っています。抜歯したスペースを使って、上の前歯の後方移動で出っ歯の改善を行っています。下は前歯が元々1本少ない(先天欠如)だったため抜歯はせずに、歯と歯の間にIPR(隣接面削合)を行い、スペースを確保し、叢生の改善を行っています。

主訴 前歯のガタガタと出っ歯が気になる。
年齢・性別 32歳 女性
お住まいの地域 東京都品川区
治療方針 抜歯スペースおよびIPRを利用して上前歯の叢生(ガタガタ)の改善
抜歯部位 上顎左右第一小臼歯
使用装置 ラビアル(上下表側)、顎間ゴム
治療期間 2年0か月
治療回数 15回
リテーナー クリアリテーナー

リスク及び副作用 矯正治療では以下のリスクや副作用が考えられます。
  • 歯根吸収(歯の根が短くなる症状)
  • 歯肉退縮(歯茎が下がる症状)
  • ブラックトライアングル(歯間乳頭部歯肉の消失)
  • アンキローシス(歯と歯を支える骨が癒着し歯が動かなくなる)
  • 歯髄壊死(歯の神経が失活してしまう状態)
  • スペース残存(歯と歯の間にスペースが残存する)
  • 顎関節症(顎の痛み)
  • 金属アレルギー
BEFORE
AFTER

費 用

※すべて税込

  • 検査・診断料 27,500円
  • 装置料 759,000円
  • 調整料 5,500円/月(15回)
  • 抜歯 22,000円(1本11,000円)
  • 保定装置料 0円
症例57
上顎前突、叢生
抜歯
ブラケット矯正

症例解説

上下顎叢生(ガタガタ)と上顎前突のケースです。
装置はラビアル(上下表側)で、上下顎両側小臼歯を抜歯(計4本)を行っています。抜歯したスペースを利用し、上下の叢生の改善を行っています。また、上顎前歯の後方移動と下顎臼歯の前方移動によって上顎前突の改善を行っております。

主訴 上下の前歯のガタガタを治したい。
年齢・性別 25歳 女性
お住まいの地域 東京都千代田区
治療方針 抜歯スペースを利用して上下前歯の叢生と上顎前突の改善
抜歯部位 上顎両側第一小臼歯、下顎両側第二小臼歯
使用装置 ラビアル(上下表側)、顎間ゴム
治療期間 2年5か月
治療回数 16回
リテーナー クリアリテーナー

リスク及び副作用 矯正治療では以下のリスクや副作用が考えられます。
  • 歯根吸収(歯の根が短くなる症状)
  • 歯肉退縮(歯茎が下がる症状)
  • ブラックトライアングル(歯間乳頭部歯肉の消失)
  • アンキローシス(歯と歯を支える骨が癒着し歯が動かなくなる)
  • 歯髄壊死(歯の神経が失活してしまう状態)
  • スペース残存(歯と歯の間にスペースが残存する)
  • 顎関節症(顎の痛み)
  • 金属アレルギー
BEFORE
AFTER

費 用

※すべて税込

  • 検査・診断料 27,500円
  • 装置料 759,000円
  • 調整料 5,500円/月(16回)
  • 抜歯 44,000円(1本11,000円)
  • 保定装置料 0円
症例58
上顎前突、叢生
抜歯
ブラケット矯正

症例解説

上下顎叢生(ガタガタ)と上顎前突のケースです。
装置はラビアル(上下表側)で、上下顎両側小臼歯を抜歯(計4本)を行っています。抜歯したスペースを利用し、上下の叢生の改善を行っています。また、上顎前歯の後方移動と下顎臼歯の前方移動によって上顎前突の改善を行っております。顎間ゴムの使用が難しかったため、歯科用アンカースクリューにて前歯の移動を行いました。

主訴 前歯のガタガタが気になる
年齢・性別 31歳 女性
お住まいの地域 神奈川県横浜市
治療方針 抜歯スペースを利用して上下前歯の叢生と上顎前突の改善
抜歯部位 上下顎両側第一小臼歯
使用装置 ラビアル(上下表側)、顎間ゴム、歯科用アンカースクリュー
治療期間 2年8か月
治療回数 26回
リテーナー クリアリテーナー

リスク及び副作用 矯正治療では以下のリスクや副作用が考えられます。
  • 歯根吸収(歯の根が短くなる症状)
  • 歯肉退縮(歯茎が下がる症状)
  • ブラックトライアングル(歯間乳頭部歯肉の消失)
  • アンキローシス(歯と歯を支える骨が癒着し歯が動かなくなる)
  • 歯髄壊死(歯の神経が失活してしまう状態)
  • スペース残存(歯と歯の間にスペースが残存する)
  • 顎関節症(顎の痛み)
  • 金属アレルギー
BEFORE
AFTER

費 用

※すべて税込

  • 検査・診断料 27,500円
  • 装置料 759,000円
  • 調整料 5,500円/月(26回)
  • 抜歯 44,000円(1本11,000円)
  • 保定装置料 0円
症例59
叢生、開咬
抜歯
ブラケット矯正

症例解説

上下顎叢生(ガタガタ)と前歯部開咬(上下前歯同士が当たってない)のケースです。
装置はラビアル(上下表側)で、上下顎両側小臼歯を抜歯(計4本)を行っています。抜歯したスペースを利用し、上下の叢生の改善と、後方移動により開咬の改善を行っています。

主訴 上下の前歯のガタガタを治したい。前歯で物が咬めない
年齢・性別 21歳 女性
お住まいの地域 東京都大田区
治療方針 抜歯スペースを利用して上下前歯の叢生と開咬の改善
抜歯部位 上顎両側第一小臼歯、下顎両側第二小臼歯
使用装置 ラビアル(上下表側)、顎間ゴム
治療期間 2年7か月
治療回数 28回
リテーナー クリアリテーナー

リスク及び副作用 矯正治療では以下のリスクや副作用が考えられます。
  • 歯根吸収(歯の根が短くなる症状)
  • 歯肉退縮(歯茎が下がる症状)
  • ブラックトライアングル(歯間乳頭部歯肉の消失)
  • アンキローシス(歯と歯を支える骨が癒着し歯が動かなくなる)
  • 歯髄壊死(歯の神経が失活してしまう状態)
  • スペース残存(歯と歯の間にスペースが残存する)
  • 顎関節症(顎の痛み)
  • 金属アレルギー
BEFORE
AFTER

費 用

※すべて税込

  • 検査・診断料 27,500円
  • 装置料 759,000円
  • 調整料 5,500円/月(28回)
  • 抜歯 44,000円(1本11,000円)
  • 保定装置料 0円
症例60
上下顎前突
抜歯
ブラケット矯正

症例解説

上下顎前突(両側出っ歯)のケースです。
装置はラビアル(上下表側)で、上下顎両側小臼歯を抜歯(計4本)を行っています。抜歯したスペースを利用し、上下の前歯の後方移動を行い前突の改善を行っています。また、口元が下がりすぎないように下顎の第二小臼歯を抜歯しました。

主訴 口元が出ているのを治したい。口を閉じやすくしたい。
年齢・性別 24歳 女性
お住まいの地域 東京都品川区
治療方針 抜歯スペースを利用して上下前突の改善
抜歯部位 上顎両側第一小臼歯、下顎両側第二小臼歯
使用装置 ラビアル(上下表側)、顎間ゴム
治療期間 1年4か月
治療回数 12回
リテーナー クリアリテーナー

リスク及び副作用 矯正治療では以下のリスクや副作用が考えられます。
  • 歯根吸収(歯の根が短くなる症状)
  • 歯肉退縮(歯茎が下がる症状)
  • ブラックトライアングル(歯間乳頭部歯肉の消失)
  • アンキローシス(歯と歯を支える骨が癒着し歯が動かなくなる)
  • 歯髄壊死(歯の神経が失活してしまう状態)
  • スペース残存(歯と歯の間にスペースが残存する)
  • 顎関節症(顎の痛み)
  • 金属アレルギー
BEFORE
AFTER

費 用

※すべて税込

  • 検査・診断料 27,500円
  • 装置料 759,000円
  • 調整料 5,500円/月(12回)
  • 抜歯 44,000円(1本11,000円)
  • 保定装置料 0円
症例61
下顎前突、叢生
抜歯
ブラケット矯正

症例解説

上下顎叢生、反対咬合(上下の前歯のガタガタ、受け口)のケースです。
装置はラビアル(上下表側)で、上下顎の小臼歯を4本抜歯を行っています。抜歯したスペースを使って、上下の叢生改善と前歯の受け口の改善を行っています。

主訴 前歯が反対に咬んでいるのを治したい。
年齢・性別 23歳 男性
お住まいの地域 東京都品川区
治療方針 抜歯スペースを利用して上前歯の叢生(ガタガタ)の改善と受け口の改善
抜歯部位 上下顎左右第一小臼歯
使用装置 ラビアル(上下表側)、顎間ゴム
治療期間 1年11か月
治療回数 17回
リテーナー クリアリテーナー

リスク及び副作用 矯正治療では以下のリスクや副作用が考えられます。
  • 歯根吸収(歯の根が短くなる症状)
  • 歯肉退縮(歯茎が下がる症状)
  • ブラックトライアングル(歯間乳頭部歯肉の消失)
  • アンキローシス(歯と歯を支える骨が癒着し歯が動かなくなる)
  • 歯髄壊死(歯の神経が失活してしまう状態)
  • スペース残存(歯と歯の間にスペースが残存する)
  • 顎関節症(顎の痛み)
  • 金属アレルギー
BEFORE
AFTER

費 用

※すべて税込

  • 検査・診断料 27,500円
  • 装置料 759,000円
  • 調整料 5,500円/月(17回)
  • 抜歯 44,000円(1本11,000円)
  • 保定装置料 0円
症例62
下顎前突、叢生
抜歯
ブラケット矯正

症例解説

上下顎叢生、反対咬合(上下の前歯のガタガタ、受け口)のケースです。
装置はラビアル(上下表側)で、上下顎の小臼歯を4本抜歯を行っています。抜歯したスペースを使って、上下の叢生改善と前歯の受け口の改善を行っています。

主訴 前歯が反対に咬んでいるのを治したい。
年齢・性別 18歳 女性
お住まいの地域 東京都品川区
治療方針 抜歯スペースを利用して上前歯の叢生(ガタガタ)の改善と受け口の改善
抜歯部位 上下顎左右第一小臼歯
使用装置 ラビアル(上下表側)、顎間ゴム
治療期間 2年3か月
治療回数 16回
リテーナー クリアリテーナー

リスク及び副作用 矯正治療では以下のリスクや副作用が考えられます。
  • 歯根吸収(歯の根が短くなる症状)
  • 歯肉退縮(歯茎が下がる症状)
  • ブラックトライアングル(歯間乳頭部歯肉の消失)
  • アンキローシス(歯と歯を支える骨が癒着し歯が動かなくなる)
  • 歯髄壊死(歯の神経が失活してしまう状態)
  • スペース残存(歯と歯の間にスペースが残存する)
  • 顎関節症(顎の痛み)
  • 金属アレルギー
BEFORE
AFTER

費 用

※すべて税込

  • 検査・診断料 27,500円
  • 装置料 759,000円
  • 調整料 5,500円/月(16回)
  • 抜歯 44,000円(1本11,000円)
  • 保定装置料 0円
症例63
叢生
抜歯
ブラケット矯正

症例解説

上下顎叢生(上下の前歯のガタガタ)のケースです。
装置はラビアル(上下表側)で、上下顎の小臼歯を4本抜歯を行っています。抜歯したスペースを使って、上下の前歯の後方移動と叢生(ガタガタ)の改善を行っています。

主訴 上下の前歯のデコボコをなおしたい。
年齢・性別 23歳 女性
お住まいの地域 東京都品川区
治療方針 抜歯スペースを利用して上下前歯の叢生(ガタガタ)の改善
抜歯部位 上下顎左右第一小臼歯
使用装置 ラビアル(上下表側)、顎間ゴム
治療期間 2年2か月
治療回数 16回
リテーナー クリアリテーナー

リスク及び副作用 矯正治療では以下のリスクや副作用が考えられます。
  • 歯根吸収(歯の根が短くなる症状)
  • 歯肉退縮(歯茎が下がる症状)
  • ブラックトライアングル(歯間乳頭部歯肉の消失)
  • アンキローシス(歯と歯を支える骨が癒着し歯が動かなくなる)
  • 歯髄壊死(歯の神経が失活してしまう状態)
  • スペース残存(歯と歯の間にスペースが残存する)
  • 顎関節症(顎の痛み)
  • 金属アレルギー
BEFORE
AFTER

費 用

※すべて税込

  • 検査・診断料 27,500円
  • 装置料 759,000円
  • 調整料 5,500円/月(16回)
  • 抜歯 44,000円(1本11,000円)
  • 保定装置料 0円
症例64
叢生
抜歯
ブラケット矯正

症例解説

上下顎叢生(上下の前歯のガタガタ)のケースです。
装置はラビアル(上下表側)で、上顎の叢生は軽度、下顎の叢生は重度であったため、下顎の前歯を1本抜歯しています。抜歯したスペースを使って、下の前歯の叢生(ガタガタ)の改善を行っています。
また、上顎はIPR(隣接面削合)を行い、叢生(ガタガタ)の改善を行っております。

主訴 前歯のがたがたをなおしたい。
年齢・性別 23歳 女性
お住まいの地域 東京都大田区
治療方針 抜歯スペースを利用して上下前歯の叢生(ガタガタ)の改善
抜歯部位 下顎右側側切歯1本
使用装置 ラビアル(上下表側)、顎間ゴム
治療期間 1年1か月
治療回数 10回
リテーナー クリアリテーナー

リスク及び副作用 矯正治療では以下のリスクや副作用が考えられます。
  • 歯根吸収(歯の根が短くなる症状)
  • 歯肉退縮(歯茎が下がる症状)
  • ブラックトライアングル(歯間乳頭部歯肉の消失)
  • アンキローシス(歯と歯を支える骨が癒着し歯が動かなくなる)
  • 歯髄壊死(歯の神経が失活してしまう状態)
  • スペース残存(歯と歯の間にスペースが残存する)
  • 顎関節症(顎の痛み)
  • 金属アレルギー
BEFORE
AFTER

費 用

※すべて税込

  • 検査・診断料 27,500円
  • 装置料 759,000円
  • 調整料 5,500円/月(10回)
  • 抜歯 11,000円(1本11,000円)
  • 保定装置料 0円
症例65
上下顎前突、叢生
抜歯
ブラケット矯正

症例解説

上下顎叢生(上下の前歯のガタガタ)と上下顎前突(上下出っ歯)のケースです。
装置はラビアル(上下表側)で、上下顎の小臼歯を4本抜歯を行っています。抜歯したスペースを使って、上下の前歯の後方移動と叢生(ガタガタ)の改善を行っています。

主訴 口元が出ているのをなおしたい。
年齢・性別 22歳 女性
お住まいの地域 東京都世田谷区
治療方針 抜歯スペースを利用して上下前歯の叢生(ガタガタ)の改善
抜歯部位 上下顎左右第一小臼歯
使用装置 ラビアル(上下表側)、顎間ゴム
治療期間 1年6か月
治療回数 13回
リテーナー クリアリテーナー

リスク及び副作用 矯正治療では以下のリスクや副作用が考えられます。
  • 歯根吸収(歯の根が短くなる症状)
  • 歯肉退縮(歯茎が下がる症状)
  • ブラックトライアングル(歯間乳頭部歯肉の消失)
  • アンキローシス(歯と歯を支える骨が癒着し歯が動かなくなる)
  • 歯髄壊死(歯の神経が失活してしまう状態)
  • スペース残存(歯と歯の間にスペースが残存する)
  • 顎関節症(顎の痛み)
  • 金属アレルギー
BEFORE
AFTER

費 用

※すべて税込

  • 検査・診断料 27,500円
  • 装置料 759,000円
  • 調整料 5,500円/月(13回)
  • 抜歯 44,000円(1本11,000円)
  • 保定装置料 0円
症例66
叢生
非抜歯
マウスピース型矯正

症例解説

上下顎叢生(上下の前歯のガタガタ)のケースです。
装置はカスタムメイド型マウスピース矯正装置で、スペースを作るために上下の歯にIPR(歯間隣接面削合)および歯列側方拡大を行っています。IPRと側方拡大したスペースを使って、上下前歯の叢生(ガタガタ)の改善を行っています。

主訴 前歯のガタガタを治したい。
年齢・性別 25歳 男性
お住まいの地域 東京都目黒区
治療方針 歯列の側方拡大およびIPRを利用して上下前歯の叢生(ガタガタ)の改善
抜歯部位 抜歯無し
使用装置 カスタムメイド型マウスピース矯正装置
治療期間 1年6か月
治療回数 11回
リテーナー クリアリテーナー

リスク及び副作用 矯正治療では以下のリスクや副作用が考えられます。
  • 歯根吸収(歯の根が短くなる症状)
  • 歯肉退縮(歯茎が下がる症状)
  • ブラックトライアングル(歯間乳頭部歯肉の消失)
  • アンキローシス(歯と歯を支える骨が癒着し歯が動かなくなる)
  • 歯髄壊死(歯の神経が失活してしまう状態)
  • スペース残存(歯と歯の間にスペースが残存する)
  • 顎関節症(顎の痛み)
BEFORE
AFTER

費 用

※すべて税込

  • 検査・診断料 27,500円
  • 装置料 825,000円
  • 調整料 5,500円/月(8回)
  • 再診料 1,100円(3回)
  • 保定装置料 0円
症例67
叢生
抜歯
マウスピース型矯正

症例解説

上下顎叢生(上下の前歯のガタガタ)のケースです。
装置はカスタムメイド型マウスピース矯正装置で、上下顎の小臼歯を4本抜歯を行っています。抜歯したスペースを使って、上下の前歯の後方移動と叢生(ガタガタ)の改善を行っています。

主訴 八重歯を治したい。
年齢・性別 23歳 女性
お住まいの地域 東京都大田区
治療方針 抜歯スペースを利用して上前歯の叢生(ガタガタ)の改善
抜歯部位 上下顎左右第一小臼歯
使用装置 カスタムメイド型マウスピース矯正装置、顎間ゴム
治療期間 1年8か月
治療回数 12回
リテーナー クリアリテーナー

リスク及び副作用 矯正治療では以下のリスクや副作用が考えられます。
  • 歯根吸収(歯の根が短くなる症状)
  • 歯肉退縮(歯茎が下がる症状)
  • ブラックトライアングル(歯間乳頭部歯肉の消失)
  • アンキローシス(歯と歯を支える骨が癒着し歯が動かなくなる)
  • 歯髄壊死(歯の神経が失活してしまう状態)
  • スペース残存(歯と歯の間にスペースが残存する)
  • 顎関節症(顎の痛み)
BEFORE
AFTER

費 用

※すべて税込

  • 検査・診断料 27,500円
  • 装置料 962,500円
  • 調整料 5,500円/月(12回)
  • 抜歯 44,000円(1本11,000円)
  • 保定装置料 0円
症例68
叢生
非抜歯
マウスピース型矯正

症例解説

上下顎叢生(上下の前歯のガタガタ)のケースです。
装置はカスタムメイド型マウスピース矯正装置で、スペースを作るために上下の歯にIPR(歯間隣接面削合)および歯列側方拡大を行っています。IPRと側方拡大したスペースを使って、上下前歯の叢生(ガタガタ)の改善を行っています。

主訴 前歯のガタガタを治したい。
年齢・性別 14歳 女性
お住まいの地域 東京都大田区
治療方針 歯列の側方拡大およびIPRを利用して上下前歯の叢生(ガタガタ)の改善
抜歯部位 抜歯無し
使用装置 カスタムメイド型マウスピース矯正装置
治療期間 10か月
治療回数 5回
リテーナー クリアリテーナー

リスク及び副作用 矯正治療では以下のリスクや副作用が考えられます。
  • 歯根吸収(歯の根が短くなる症状)
  • 歯肉退縮(歯茎が下がる症状)
  • ブラックトライアングル(歯間乳頭部歯肉の消失)
  • アンキローシス(歯と歯を支える骨が癒着し歯が動かなくなる)
  • 歯髄壊死(歯の神経が失活してしまう状態)
  • スペース残存(歯と歯の間にスペースが残存する)
  • 顎関節症(顎の痛み)
BEFORE
AFTER

費 用

※すべて税込

  • 検査・診断料 27,500円
  • 装置料 847,000円
  • 調整料 5,500円/月(1回)
  • 再診料 1,100円(4回)
  • 保定装置料 0円
症例69
上顎前突、叢生
非抜歯
マウスピース型矯正

症例解説

上顎叢生および上顎前突(上の前歯のガタガタと出っ歯)のケースです。
装置はカスタムメイド型マウスピース矯正装置で、上の歯を一本ずつ後ろに動かし、出っ歯の改善を行っています。

主訴 前歯の出っ歯を治したい。
年齢・性別 28歳 男性
お住まいの地域 神奈川県横浜市
治療方針 上顎歯列の遠心移動により上顎前突(出っ歯)の改善
抜歯部位 抜歯無し
使用装置 カスタムメイド型マウスピース矯正装置
治療期間 1年6か月
治療回数 10回
リテーナー クリアリテーナー

リスク及び副作用 矯正治療では以下のリスクや副作用が考えられます。
  • 歯根吸収(歯の根が短くなる症状)
  • 歯肉退縮(歯茎が下がる症状)
  • ブラックトライアングル(歯間乳頭部歯肉の消失)
  • アンキローシス(歯と歯を支える骨が癒着し歯が動かなくなる)
  • 歯髄壊死(歯の神経が失活してしまう状態)
  • スペース残存(歯と歯の間にスペースが残存する)
  • 顎関節症(顎の痛み)
BEFORE
AFTER

費 用

※すべて税込

  • 検査・診断料 27,500円
  • 装置料 847,000円
  • 調整料 5,500円/月(1回)
  • 再診料 1,100円(4回)
  • 保定装置料 0円
症例70
叢生
非抜歯
マウスピース型矯正

症例解説

上下顎叢生(上下の前歯のガタガタ)のケースです。
装置はカスタムメイド型マウスピース矯正装置で、スペースを作るために上下の歯にIPR(歯間隣接面削合)および歯列側方拡大を行っています。IPRと側方拡大したスペースを使って、上下前歯の叢生(ガタガタ)の改善を行っています。

主訴 前歯(特に左上)のガタガタを治したい。
年齢・性別 25歳 女性
お住まいの地域 神奈川県横浜市
治療方針 歯列の側方拡大およびIPRを利用して上下前歯の叢生(ガタガタ)の改善
抜歯部位 抜歯無し
使用装置 カスタムメイド型マウスピース矯正装置
治療期間 1年0か月
治療回数 9回
リテーナー クリアリテーナー

リスク及び副作用 矯正治療では以下のリスクや副作用が考えられます。
  • 歯根吸収(歯の根が短くなる症状)
  • 歯肉退縮(歯茎が下がる症状)
  • ブラックトライアングル(歯間乳頭部歯肉の消失)
  • アンキローシス(歯と歯を支える骨が癒着し歯が動かなくなる)
  • 歯髄壊死(歯の神経が失活してしまう状態)
  • スペース残存(歯と歯の間にスペースが残存する)
  • 顎関節症(顎の痛み)
BEFORE
AFTER

費 用

※すべて税込

  • 検査・診断料 27,500円
  • 装置料 935,000円
  • 調整料 5,500円/月(2回)
  • 再診料 1,100円(7回)
  • 保定装置料 0円
症例71
叢生
非抜歯
マウスピース型矯正

症例解説

上下顎叢生(上下の前歯のガタガタ)のケースです。
装置はカスタムメイド型マウスピース矯正装置で、スペースを作るために上下の歯にIPR(歯間隣接面削合)および歯列側方拡大を行っています。IPRと側方拡大したスペースを使って、上下前歯の叢生(ガタガタ)の改善を行っています。

主訴 上の前歯の内側に入っている部分を治したい。
年齢・性別 37歳 男性
お住まいの地域 東京都大田区
治療方針 歯列の側方拡大およびIPRを利用して上下前歯の叢生(ガタガタ)の改善
抜歯部位 抜歯無し
使用装置 カスタムメイド型マウスピース矯正装置
治療期間 11か月
治療回数 7回
リテーナー クリアリテーナー

リスク及び副作用 矯正治療では以下のリスクや副作用が考えられます。
  • 歯根吸収(歯の根が短くなる症状)
  • 歯肉退縮(歯茎が下がる症状)
  • ブラックトライアングル(歯間乳頭部歯肉の消失)
  • アンキローシス(歯と歯を支える骨が癒着し歯が動かなくなる)
  • 歯髄壊死(歯の神経が失活してしまう状態)
  • スペース残存(歯と歯の間にスペースが残存する)
  • 顎関節症(顎の痛み)
BEFORE
AFTER

費 用

※すべて税込

  • 検査・診断料 27,500円
  • 装置料 935,000円
  • 調整料 5,500円/月(2回)
  • 再診料 1,100円(5回)
  • 保定装置料 0円
症例72
叢生
非抜歯
マウスピース型矯正

症例解説

上下顎叢生(上下の前歯のガタガタ)のケースです。
装置はカスタムメイド型マウスピース矯正装置で、スペースを作るために上下の歯にIPR(歯間隣接面削合)および歯列側方拡大を行っています。IPRと側方拡大したスペースを使って、上下前歯の叢生(ガタガタ)の改善を行っています。

主訴 上下の前歯の凸凹を治したい。
年齢・性別 26歳 女性
お住まいの地域 神奈川県川崎市
治療方針 歯列の側方拡大およびIPRを利用して上下前歯の叢生(ガタガタ)の改善
抜歯部位 抜歯無し
使用装置 カスタムメイド型マウスピース矯正装置
治療期間 6か月
治療回数 3回
リテーナー クリアリテーナー

リスク及び副作用 矯正治療では以下のリスクや副作用が考えられます。
  • 歯根吸収(歯の根が短くなる症状)
  • 歯肉退縮(歯茎が下がる症状)
  • ブラックトライアングル(歯間乳頭部歯肉の消失)
  • アンキローシス(歯と歯を支える骨が癒着し歯が動かなくなる)
  • 歯髄壊死(歯の神経が失活してしまう状態)
  • スペース残存(歯と歯の間にスペースが残存する)
  • 顎関節症(顎の痛み)
BEFORE
AFTER

費 用

※すべて税込

  • 検査・診断料 27,500円
  • 装置料 825,000円
  • 調整料 5,500円/月(1回)
  • 再診料 1,100円(2回)
  • 保定装置料 0円
症例73
叢生
非抜歯
ブラケット矯正

症例解説

上下顎叢生(上下の前歯のガタガタ)のケースです。
装置はラビアル(上下表側)で、非抜歯で治療を行っています。歯を並べるスペースを作るため、上下歯列の側方拡大とIPR(隣接面削合)を行い、叢生の改善を行っています。

主訴 上前歯のガタガタが気になる。
年齢・性別 23歳 女性
お住まいの地域 東京都大田区
治療方針 歯列の側方拡大およびIPRを利用して上前歯の叢生(ガタガタ)の改善
抜歯部位 抜歯無し
使用装置 ラビアル(上下表側)、顎間ゴム
治療期間 1年3か月
治療回数 13回
リテーナー クリアリテーナー

リスク及び副作用 矯正治療では以下のリスクや副作用が考えられます。
  • 歯根吸収(歯の根が短くなる症状)
  • 歯肉退縮(歯茎が下がる症状)
  • ブラックトライアングル(歯間乳頭部歯肉の消失)
  • アンキローシス(歯と歯を支える骨が癒着し歯が動かなくなる)
  • 歯髄壊死(歯の神経が失活してしまう状態)
  • スペース残存(歯と歯の間にスペースが残存する)
  • 顎関節症(顎の痛み)
  • 金属アレルギー
BEFORE
AFTER

費 用

※すべて税込

  • 検査・診断料 27,500円
  • 装置料 759,000円
  • 調整料 5,500円/月(13回)
  • 保定装置料 0円
症例74
叢生、開咬
非抜歯
ブラケット矯正

症例解説

前歯部開咬(上下の前歯が咬み合わない)のケースです。
装置はラビアル(上下表側)で、非抜歯で治療を行っています。上下の前歯を咬合させるため、顎間ゴムを使用しました。またワイヤーの力で軽度の叢生の改善を行いました。

主訴 上下の前歯が咬んでない。
年齢・性別 22歳 男性
お住まいの地域 神奈川県横浜市
治療方針 上下ワイヤー、顎間ゴムを利用して前歯開咬の改善
抜歯部位 抜歯無し
使用装置 ラビアル(上下表側)、顎間ゴム
治療期間 1年0か月
治療回数 9回
リテーナー クリアリテーナー

リスク及び副作用 矯正治療では以下のリスクや副作用が考えられます。
  • 歯根吸収(歯の根が短くなる症状)
  • 歯肉退縮(歯茎が下がる症状)
  • ブラックトライアングル(歯間乳頭部歯肉の消失)
  • アンキローシス(歯と歯を支える骨が癒着し歯が動かなくなる)
  • 歯髄壊死(歯の神経が失活してしまう状態)
  • スペース残存(歯と歯の間にスペースが残存する)
  • 顎関節症(顎の痛み)
  • 金属アレルギー
BEFORE
AFTER

費 用

※すべて税込

  • 検査・診断料 27,500円
  • 装置料 759,000円
  • 調整料 5,500円/月(9回)
  • 保定装置料 0円
症例75
叢生
非抜歯
ブラケット矯正

症例解説

上下顎叢生(上下の前歯のガタガタ)のケースです。
装置はラビアル(上下表側)で、非抜歯で治療を行っています。歯を並べるスペースを作るため、上下歯列の側方拡大とIPR(隣接面削合)を行い、叢生の改善を行っています。

主訴 上前歯が内側に入っているのが気になる。
年齢・性別 24歳 女性
お住まいの地域 東京都大田区
治療方針 歯列の側方拡大およびIPRを利用して上前歯の叢生(ガタガタ)の改善
抜歯部位 抜歯無し
使用装置 ラビアル(上下表側)、顎間ゴム
治療期間 7か月
治療回数 5回
リテーナー クリアリテーナー

リスク及び副作用 矯正治療では以下のリスクや副作用が考えられます。
  • 歯根吸収(歯の根が短くなる症状)
  • 歯肉退縮(歯茎が下がる症状)
  • ブラックトライアングル(歯間乳頭部歯肉の消失)
  • アンキローシス(歯と歯を支える骨が癒着し歯が動かなくなる)
  • 歯髄壊死(歯の神経が失活してしまう状態)
  • スペース残存(歯と歯の間にスペースが残存する)
  • 顎関節症(顎の痛み)
  • 金属アレルギー
BEFORE
AFTER

費 用

※すべて税込

  • 検査・診断料 27,500円
  • 装置料 759,000円
  • 調整料 5,500円/月(5回)
  • 保定装置料 0円
症例76
叢生
非抜歯
ブラケット矯正

症例解説

上下顎叢生と下顎大臼歯近心移動(左下の欠損部への歯の移動)したケースです。
下顎第二大臼歯(左下の奥歯)を虫歯で抜歯することになり、歯がなくなってしまうのでどうするかということで来院されました。
治療方法としてはインプラント、ブリッジ、義歯、歯列矯正という選択肢がありました。歯列矯正では、抜いた歯の後ろにある親知らずを前に移動させる治療をご提案しました。矯正する場合のメリットは、①前歯のガタガタも同時に治せる ②人工物を入れず患者さんご自身の歯だけで治せるという点です。一方で金額面や装置を表側に装着するなどのデメリットも説明し、最終的には矯正治療を受けていただくことになりました。装置はラビアル(上下表側)です。下顎左側臼歯の近心移動と上下叢生も同時に治療行いました。

主訴 抜いた左下奥歯のスペースをどうにかしたい。
年齢・性別 47歳 女性
お住まいの地域 東京都大田区
治療方針 下顎左側第三大臼歯(親知らず)の近心移動および上下前歯の叢生改善
抜歯部位 抜歯無し
使用装置 ラビアル(上下表側)、顎間ゴム
治療期間 2年0か月
治療回数 15回
リテーナー クリアリテーナー

リスク及び副作用 矯正治療では以下のリスクや副作用が考えられます。
  • 歯根吸収(歯の根が短くなる症状)
  • 歯肉退縮(歯茎が下がる症状)
  • ブラックトライアングル(歯間乳頭部歯肉の消失)
  • アンキローシス(歯と歯を支える骨が癒着し歯が動かなくなる)
  • 歯髄壊死(歯の神経が失活してしまう状態)
  • スペース残存(歯と歯の間にスペースが残存する)
  • 顎関節症(顎の痛み)
  • 金属アレルギー
BEFORE
AFTER

費 用

※すべて税込

  • 検査・診断料 27,500円
  • 装置料 759,000円
  • 調整料 5,500円/月(15回)
  • 抜歯 22,000円(1本11,000円)
  • 保定装置料 0円
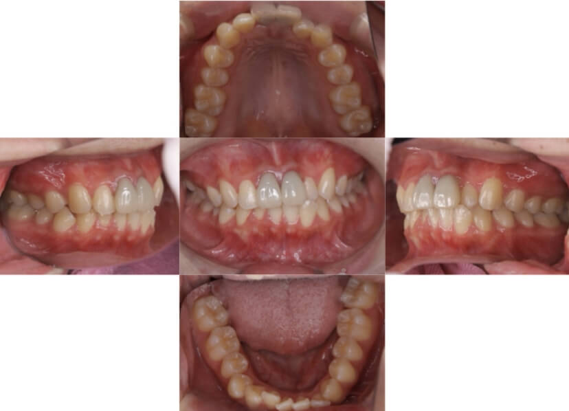
症例77
叢生、過蓋咬合
抜歯
ブラケット矯正

症例解説

上下顎叢生(上下前歯のガタガタ)、過蓋咬合(咬み合わせが深い)、右上埋伏歯(大人の歯が埋まっている)ケースです。
初診時には、右上の犬歯が骨の中に埋まっており乳歯が残っています。治療計画では乳歯を抜歯して、埋まっている永久歯を引っ張り出してくる治療計画を提案し、治療を開始しました。
装置はラビアル(上下表側)で、抜歯したスペースに埋まっている永久歯を牽引し、排列しました。また、上下の叢生(ガタガタ)と過蓋咬合(咬み合わせ深い)の改善を行っています。

主訴 永久歯が埋まっている。
年齢・性別 30歳 女性
お住まいの地域 東京都大田区
治療方針 乳歯抜歯し、永久歯の開窓牽引、上下前歯の叢生(ガタガタ)および過蓋咬合改善
抜歯部位 上顎右側C
使用装置 ラビアル(上下表側)、顎間ゴム
治療期間 3年6か月
治療回数 24回
リテーナー クリアリテーナー

リスク及び副作用 矯正治療では以下のリスクや副作用が考えられます。
  • 歯根吸収(歯の根が短くなる症状)
  • 歯肉退縮(歯茎が下がる症状)
  • ブラックトライアングル(歯間乳頭部歯肉の消失)
  • アンキローシス(歯と歯を支える骨が癒着し歯が動かなくなる)
  • 歯髄壊死(歯の神経が失活してしまう状態)
  • スペース残存(歯と歯の間にスペースが残存する)
  • 顎関節症(顎の痛み)
  • 金属アレルギー
BEFORE
AFTER

費 用

※すべて税込

  • 検査・診断料 27,500円
  • 装置料 759,000円
  • 調整料 5,500円/月(24回)
  • 抜歯 11,000円(1本11,000円)
  • 保定装置料 0円
症例78
上顎前突
抜歯
ブラケット矯正

症例解説

上顎前突(出っ歯、上下の前歯のガタガタ)の再治療ケースです。
以前に他院で矯正治療を行い、一度終了したものの出っ歯が気になり、当院に来院されました。
出っ歯の原因は、下顎の小臼歯のみ抜歯による治療で、前歯が内側に入り込んでいるものと考えられます。再矯正の治療計画では、上顎の小臼歯の抜歯を行い上の前歯を内側に引っ込めていくことをご提案しました。
装置はラビアル(上下表側)で、上顎の小臼歯を2本抜歯を行っています。抜歯したスペースを使って、上の前歯の後方移動により出っ歯の改善を行っています。

主訴 前歯の出っ歯が気になる。
年齢・性別 33歳 女性
お住まいの地域 東京都大田区
治療方針 抜歯スペースを利用して上顎前突(出っ歯)の改善
抜歯部位 上顎左右第一小臼歯
使用装置 ラビアル(上下表側)、顎間ゴム
治療期間 2年0か月
治療回数 15回
リテーナー クリアリテーナー

リスク及び副作用 矯正治療では以下のリスクや副作用が考えられます。
  • 歯根吸収(歯の根が短くなる症状)
  • 歯肉退縮(歯茎が下がる症状)
  • ブラックトライアングル(歯間乳頭部歯肉の消失)
  • アンキローシス(歯と歯を支える骨が癒着し歯が動かなくなる)
  • 歯髄壊死(歯の神経が失活してしまう状態)
  • スペース残存(歯と歯の間にスペースが残存する)
  • 顎関節症(顎の痛み)
  • 金属アレルギー
BEFORE
AFTER

費 用

※すべて税込

  • 検査・診断料 27,500円
  • 装置料 759,000円
  • 調整料 5,500円/月(15回)
  • 抜歯 22,000円(1本11,000円)
  • 保定装置料 0円
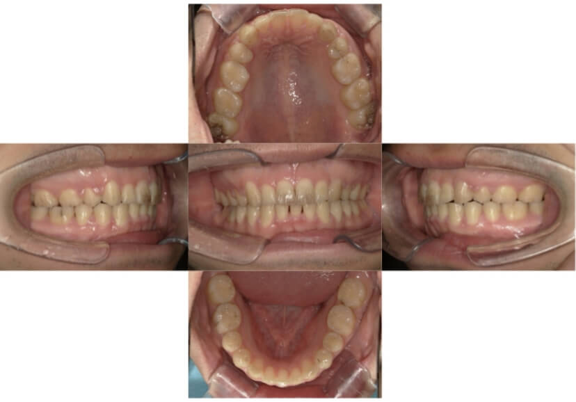
症例79
叢生
非抜歯
ブラケット矯正

症例解説

上下顎叢生(上下の前歯のガタガタ)のケースです。 装置はラビアル(上下表側)で、非抜歯で治療を行っています。歯を並べるスペースを作るため、上下歯列の側方拡大を行い、叢生の改善を行っています。

主訴 上の2番目の前歯が内側に入っているのが気になる。
年齢・性別 19歳 女性
お住まいの地域 東京都品川区
治療方針 歯列の側方拡大を利用して上前歯の叢生(ガタガタ)の改善
抜歯部位 抜歯なし
使用装置 ラビアル(上下表側)、顎間ゴム
治療期間 1年
治療回数 12回
リテーナー クリアリテーナー

リスク及び副作用 矯正治療では以下のリスクや副作用が考えられます。
  • 歯根吸収(歯の根が短くなる症状)
  • 歯肉退縮(歯茎が下がる症状)
  • ブラックトライアングル(歯間乳頭部歯肉の消失)
  • アンキローシス(歯と歯を支える骨が癒着し歯が動かなくなる)
  • 歯髄壊死(歯の神経が失活してしまう状態)
  • スペース残存(歯と歯の間にスペースが残存する)
  • 顎関節症(顎の痛み)
  • 金属アレルギー
BEFORE
AFTER

費 用

※すべて税込

  • 検査・診断料 27,500円
  • 装置料 759,000円
  • 調整料 5,500円/月(12回)
  • 保定装置料 0円
症例80
叢生
非抜歯
ブラケット矯正

症例解説

上下顎叢生(上下の前歯のガタガタ)のケースです。
装置はラビアル(上下表側)で、非抜歯で治療を行っています。歯を並べるスペースを作るため、上下歯列の側方拡大を行い、叢生の改善を行っています。

主訴 上下前歯のガタガタを治したい
年齢・性別 30歳 女性
お住まいの地域 東京都大田区
治療方針 歯列の側方拡大を利用して上前歯の叢生(ガタガタ)の改善
抜歯部位 抜歯なし
使用装置 ラビアル(上下表側)、顎間ゴム
治療期間 1年
治療回数 12回
リテーナー クリアリテーナー

リスク及び副作用 矯正治療では以下のリスクや副作用が考えられます。
  • 歯根吸収(歯の根が短くなる症状)
  • 歯肉退縮(歯茎が下がる症状)
  • ブラックトライアングル(歯間乳頭部歯肉の消失)
  • アンキローシス(歯と歯を支える骨が癒着し歯が動かなくなる)
  • 歯髄壊死(歯の神経が失活してしまう状態)
  • スペース残存(歯と歯の間にスペースが残存する)
  • 顎関節症(顎の痛み)
  • 金属アレルギー
BEFORE
AFTER

費 用

※すべて税込

  • 検査・診断料 27,500円
  • 装置料 759,000円
  • 調整料 5,500円/月(12回)
  • 保定装置料 0円
症例81
叢生
非抜歯
ブラケット矯正

症例解説

上下顎叢生(上下の前歯のガタガタ)のケースです。
装置はラビアル(上下表側)で、非抜歯で治療を行っています。歯を並べるスペースを作るため、上下歯列の側方拡大を行い、叢生の改善を行っています。

主訴 上下前歯のガタガタを治したい
年齢・性別 30歳 女性
お住まいの地域 東京都大田区
治療方針 歯列の側方拡大を利用して上前歯の叢生(ガタガタ)の改善
抜歯部位 抜歯なし
使用装置 ラビアル(上下表側)、顎間ゴム
治療期間 8か月
治療回数 8回
リテーナー クリアリテーナー

リスク及び副作用 矯正治療では以下のリスクや副作用が考えられます。
  • 歯根吸収(歯の根が短くなる症状)
  • 歯肉退縮(歯茎が下がる症状)
  • ブラックトライアングル(歯間乳頭部歯肉の消失)
  • アンキローシス(歯と歯を支える骨が癒着し歯が動かなくなる)
  • 歯髄壊死(歯の神経が失活してしまう状態)
  • スペース残存(歯と歯の間にスペースが残存する)
  • 顎関節症(顎の痛み)
  • 金属アレルギー
BEFORE
AFTER

費 用

※すべて税込

  • 検査・診断料 27,500円
  • 装置料 759,000円
  • 調整料 5,500円/月(8回)
  • 保定装置料 0円
初診相談
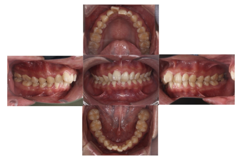
とは
TEL予約 WEB予約